11 Feb 2026 • Pediatri
Amoebiasis, infeksi yang disebabkan oleh protozoa parasit Entamoeba histolytica, merupakan masalah kesehatan masyarakat global yang signifikan, seringkali diremehkan di luar daerah endemis. Infeksi ini diperkirakan menjangkiti hampir 500 juta orang di seluruh dunia, mengakibatkan 40.000 hingga 110.000 kematian setiap tahunnya.
Angka ini menempatkan amoebiasis sebagai penyebab kematian parasit tertinggi ketiga di dunia, setelah malaria dan skistosomiasis. Beban penyakit ini secara tidak proporsional ditanggung oleh anak-anak di negara berkembang, di mana diare tetap menjadi penyebab utama morbiditas dan mortalitas.
Terdapat sebuah paradoks persepsi yang berbahaya terkait amoebiasis. Di negara-negara maju seperti Amerika Serikat, amoebiasis dianggap sebagai penyakit langka yang umumnya hanya ditemukan pada imigran atau individu yang baru kembali dari perjalanan ke daerah endemis.
Pandangan ini sangat kontras dengan kenyataan di lapangan di banyak negara tropis dan subtropis di Afrika, Asia, serta Amerika Tengah dan Selatan, di mana E. histolytica adalah patogen enterik yang umum dan mematikan pada populasi pediatri. Data dari studi multisenter berskala besar seperti Global Enteric Multicenter Study (GEMS) secara konsisten menempatkan E. histolytica sebagai salah satu dari tujuh patogen teratas penyebab disentri pada anak balita di Afrika sub-Sahara dan Asia Selatan.
Lebih jauh lagi, analisis dari GEMS menunjukkan bahwa diare yang disebabkan oleh E. histolytica memiliki rasio bahaya (hazard ratio) tertinggi untuk kematian pada anak di tahun kedua kehidupan mereka, menggarisbawahi virulensinya yang tinggi pada kelompok usia ini. Persepsi yang keliru ini dapat menyebabkan rendahnya indeks kecurigaan klinis di kalangan praktisi medis yang tidak bekerja di daerah hiperendemis, yang berpotensi menunda diagnosis dan tatalaksana yang tepat.

Amoebiasis bukanlah masalah yang asing di Indonesia. Berbagai studi lokal telah melaporkan insiden amebiasis intestinal yang berkisar antara 8.0% hingga 8.3%. Sebuah penelitian yang dilakukan di rumah sakit rujukan tersier nasional di Jakarta menemukan bahwa infeksi Entamoeba merupakan infeksi parasit yang paling lazim ditemukan pada pasien anak yang dirawat karena enterokolitis.
Studi ini juga mengidentifikasi E. histolytica sebagai salah satu spesies utama yang menyebabkan penyakit. Hal ini menunjukkan bahwa transmisi lokal terjadi dan amoebiasis harus menjadi bagian dari diagnosis banding untuk kasus gastroenteritis, terutama disentri, di Indonesia. Transmisi E. histolytica terjadi melalui rute fekal-oral, terutama melalui konsumsi air atau makanan yang terkontaminasi kista parasit.
Oleh karena itu, faktor risiko utama yang mendorong prevalensi penyakit ini terkait erat dengan kondisi sosioekonomi dan lingkungan. Faktor-faktor ini termasuk sanitasi yang buruk, kemiskinan, kurangnya akses terhadap sumber air minum yang aman dan bersih, serta iklim tropis yang hangat dan lembab yang mendukung kelangsungan hidup kista di lingkungan.
Selain itu, malnutrisi merupakan faktor risiko yang sangat penting dan memiliki hubungan dua arah dengan amoebiasis. Anak-anak dengan status gizi buruk lebih rentan untuk mengalami penyakit amoebiasis invasif yang parah. Sebaliknya, infeksi E. histolytica itu sendiri, bahkan yang subklinis, dapat menyebabkan malabsorpsi dan memperburuk status gizi, yang berujung pada gangguan pertumbuhan dan perkembangan (stunting).
Pemahaman mengenai siklus hidup E. histolytica adalah fundamental untuk memahami manifestasi klinis dan strategi pengobatannya. Siklus hidup parasit ini terdiri dari dua tahap utama: kista dan trofozoit. Infeksi dimulai ketika seorang individu menelan kista matang yang infektif, biasanya melalui makanan atau air yang terkontaminasi.
Kista ini memiliki dinding yang kuat sehingga mampu bertahan melewati lingkungan asam di lambung. Setelah mencapai usus halus bagian akhir atau usus besar, kista mengalami ekskistasi (pecah) dan melepaskan trofozoit.
Trofozoit adalah bentuk aktif, motil, dan patogenik dari parasit. Di dalam lumen usus besar, trofozoit dapat hidup secara komensal dengan memakan bakteri dan sisa makanan, atau dapat memulai proses invasi jaringan. Proses invasi ini dimediasi oleh berbagai faktor virulensi.
Salah satu yang terpenting adalah lektin adhesi Galaktosa/N-asetil-D-galaktosamin (Gal/GalNAc), sebuah molekul di permukaan trofozoit yang memungkinkannya menempel erat pada sel epitel kolon. Setelah menempel, trofozoit melepaskan berbagai enzim proteolitik, seperti sistein proteinase, yang dapat melarutkan matriks ekstraseluler dan merusak sel inang, memungkinkan parasit menembus lapisan mukosa usus. Proses invasi ini memicu respons inflamasi yang hebat, menyebabkan pembentukan ulkus klasik berbentuk "labu" (flask-shaped) dan gejala klinis kolitis.
Infeksi E. histolytica dapat bermanifestasi dalam spektrum klinis yang luas, mulai dari tidak bergejala sama sekali hingga penyakit invasif yang mengancam jiwa. Untuk tujuan klinis, manifestasi ini dapat dikategorikan menjadi tiga kelompok utama.
Mayoritas infeksi E. histolytica, diperkirakan lebih dari 90%, bersifat asimtomatik. Pada kondisi ini, individu yang terinfeksi (dikenal sebagai pembawa atau carrier) tidak menunjukkan tanda atau gejala penyakit apa pun. Meskipun tidak sakit, mereka secara terus-menerus mengeluarkan kista infektif dalam tinja mereka.
Para pembawa asimtomatik ini memainkan peran yang sangat penting dalam epidemiologi amoebiasis, karena mereka berfungsi sebagai reservoir utama yang mempertahankan siklus penularan di dalam komunitas. Pengobatan pada kelompok ini direkomendasikan tidak hanya untuk mencegah potensi perkembangan penyakit invasif di kemudian hari pada individu tersebut, tetapi juga sebagai intervensi kesehatan masyarakat yang krusial untuk memutus rantai transmisi.
Ketika trofozoit menginvasi mukosa usus, kondisi ini disebut sebagai amoebiasis intestinal atau kolitis ameba. Gejalanya bervariasi, mulai dari diare ringan yang intermiten hingga disentri ameba klasik yang berat. Disentri ameba ditandai dengan buang air besar yang sering, dalam volume kecil, dan mengandung darah serta lendir, disertai dengan nyeri perut kram dan tenesmus.
Demam umumnya tidak terlalu tinggi. Pada bayi dan anak kecil, gejalanya bisa tidak spesifik dan sulit dibedakan dari penyebab gastroenteritis lainnya, seperti menolak menyusu, muntah, rewel, dan distensi abdomen ringan. Dalam kasus yang jarang namun parah, kolitis ameba dapat berkembang menjadi komplikasi yang mengancam jiwa, seperti kolitis nekrotikans fulminan, perforasi usus, atau megakolon toksik, yang memiliki tingkat mortalitas yang sangat tinggi.
Gambar 1. Entamoeba histolytica pada feses dan Gambaran patologi pada intestinal

Dalam sebagian kecil kasus, trofozoit dapat menembus dinding usus dan masuk ke dalam sirkulasi portal, menyebar ke organ lain di luar usus. Ini disebut amoebiasis ekstraintestinal. Manifestasi ekstraintestinal yang paling umum sejauh ini adalah Abses Hati Ameba (AHA). Trofozoit yang mencapai hati menyebabkan nekrosis likuifaktif pada parenkim hati, membentuk rongga abses yang berisi cairan kental berwarna coklat kemerahan yang sering dideskripsikan sebagai "pasta ikan teri" (anchovy paste).
Presentasi klinis klasik AHA pada anak-anak meliputi demam tinggi yang bersifat hektik (naik-turun), nyeri tumpul di kuadran kanan atas abdomen, dan hepatomegali yang nyeri saat dipalpasi. Nyeri dapat menjalar ke bahu kanan. Namun, perlu dicatat bahwa presentasi pada anak bisa atipikal.
Berbeda dengan orang dewasa, ikterus (penyakit kuning) jarang terjadi pada anak dengan AHA, dan kelainan signifikan pada enzim fungsi hati juga tidak selalu ditemukan. Sebagian besar abses bersifat soliter dan paling sering terletak di lobus kanan hati.
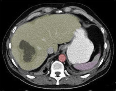
Gambar 2. Abses Hepar. Pada CT scan menunjukkan lesi hipodens [ada lobus dextra hepar

Diagnosis yang akurat dan cepat adalah pilar utama dalam tatalaksana amoebiasis yang efektif. Kesalahan atau keterlambatan dalam diagnosis dapat menyebabkan terapi yang tidak tepat, perkembangan komplikasi, dan penularan yang berkelanjutan. Selama bertahun-tahun, pendekatan diagnostik telah berevolusi dari metode tradisional ke teknik molekuler yang lebih canggih.
Secara historis, diagnosis amoebiasis bergantung pada pemeriksaan mikroskopis tinja untuk mengidentifikasi kista atau trofozoit E. histolytica. Meskipun masih banyak digunakan di fasilitas dengan sumber daya terbatas, mikroskopi memiliki keterbatasan signifikan yang membuatnya tidak lagi dianggap sebagai standar emas. Masalah utamanya adalah ketidakmampuan untuk membedakan secara morfologis antara E. histolytica yang patogen dengan spesies Entamoeba non-patogen yang sangat mirip, yaitu E. dispar dan E. moshkovskii.
Satu-satunya temuan mikroskopis yang dianggap diagnostik untuk E. histolytica adalah adanya trofozoit yang mengandung sel darah merah di dalamnya (eritrofagositosis), tetapi temuan ini hanya sering dijumpai pada kasus disentri akut dan jarang pada infeksi kronis atau pembawa asimtomatik. Selain itu, sensitivitas mikroskopi pada satu sampel tinja cukup rendah, dan hasilnya sangat bergantung pada keahlian dan pengalaman ahli mikroskopis.
Untuk mengatasi keterbatasan mikroskopi, telah dikembangkan tes deteksi antigen. Tes ini, biasanya dalam format Enzyme-Linked Immunosorbent Assay (ELISA), mendeteksi protein spesifik E. histolytica (seperti lektin Gal/GalNAc) dalam sampel tinja. Keunggulan utama tes ini adalah kemampuannya untuk secara spesifik membedakan E. histolytica dari E. dispar, lebih mudah dilakukan, dan tidak terlalu bergantung pada keahlian operator. Tes deteksi antigen merupakan langkah maju yang signifikan dan menjadi pilihan yang baik ketika tes molekuler tidak tersedia.
Di sisi lain, serologi berfungsi untuk mendeteksi antibodi terhadap E. histolytica di dalam serum pasien. Tes serologi sangat berguna dalam diagnosis penyakit ekstraintestinal, terutama Abses Hati Ameba (AHA), di mana pemeriksaan tinja seringkali negatif karena parasit tidak lagi berada di usus.
Lebih dari 95% pasien dengan AHA akan memiliki hasil serologi yang positif. Namun, kegunaan serologi terbatas di daerah endemis. Hal ini karena antibodi dapat bertahan di dalam darah selama berbulan-bulan hingga bertahun-tahun setelah infeksi sembuh. Akibatnya, tes serologi positif tidak dapat membedakan antara infeksi aktif saat ini dengan infeksi yang sudah lampau, yang dapat menyebabkan diagnosis positif palsu.
Saat ini, metode diagnostik yang dianggap sebagai standar emas (gold standard) untuk infeksi E. histolytica adalah tes molekuler berbasis Polymerase Chain Reaction (PCR). PCR bekerja dengan mengamplifikasi DNA spesifik parasit dari sampel tinja atau cairan abses.
Metode ini memiliki sensitivitas dan spesifisitas yang sangat tinggi, seringkali di atas 90%, dan mampu secara definitif mengidentifikasi E. histolytica serta membedakannya dari spesies non-patogen lainnya. Penggunaan PCR didukung oleh Organisasi Kesehatan Dunia (WHO). Seiring kemajuan teknologi, tes PCR kini semakin tersedia dalam format panel gastrointestinal multipleks, yang dapat mendeteksi berbagai patogen enterik (bakteri, virus, dan parasit) secara bersamaan dari satu sampel tinja.
Kesenjangan diagnostik yang kritis sering terjadi di lapangan. Terdapat disparitas antara ketersediaan alat diagnostik canggih seperti PCR, yang direkomendasikan sebagai standar emas, dengan realitas di daerah endemis di mana alat tersebut seringkali tidak terjangkau karena biaya dan kebutuhan infrastruktur laboratorium.
Akibatnya, banyak fasilitas kesehatan masih bergantung pada mikroskopi yang tidak dapat diandalkan. Kesenjangan ini secara langsung berkontribusi pada misdiagnosis, di mana infeksi E. histolytica yang sebenarnya bisa terlewatkan, atau sebaliknya, pasien dengan E. dispar yang non-patogen diobati secara tidak perlu.
Oleh karena itu, penting bagi klinisi untuk mengadvokasi penggunaan tes yang lebih akurat, seperti tes deteksi antigen spesifik E. histolytica, sebagai "jembatan" diagnostik yang baik jika PCR tidak tersedia.
Pendekatan diagnostik harus disesuaikan dengan presentasi klinis dan ketersediaan sumber daya.
Kecurigaan Klinis: Curigai amoebiasis pada anak dengan disentri (diare berdarah dan berlendir), terutama di daerah endemis atau dengan riwayat perjalanan. Curigai juga AHA pada anak dengan demam, nyeri kuadran kanan atas, dan hepatomegali.
Pemilihan Tes:
Jika PCR Tersedia: PCR feses adalah tes pilihan utama untuk dugaan kolitis ameba. PCR dari cairan aspirasi abses juga dapat dilakukan untuk konfirmasi AHA.
Jika PCR Tidak Tersedia:
Untuk Kolitis Ameba: Gunakan tes deteksi antigen E. histolytica di feses. Ini jauh lebih unggul daripada mikroskopi.
Untuk AHA: Tes serologi (deteksi antibodi) adalah tes pilihan utama. USG abdomen harus dilakukan untuk mengidentifikasi abses. Pemeriksaan feses (antigen atau PCR) juga dapat dilakukan, meskipun hasilnya mungkin negatif.
Jika Hanya Mikroskopi yang Tersedia: Lakukan pemeriksaan mikroskopis pada tiga sampel tinja segar yang berbeda. Sadari keterbatasannya. Temuan trofozoit dengan eritrofagositosis sangat sugestif, tetapi ketiadaannya tidak menyingkirkan diagnosis.
Tabel 1: Perbandingan Metode Diagnostik untuk Amoebiasis
Metode | Sampel | Sensitivitas (%) | Spesifisitas (%) | Keunggulan | Keterbatasan/Kelemahan |
Mikroskopi | Tinja | <60 | Rendah | Murah, tersedia luas. | Tidak bisa membedakan E. histolytica dari E. dispar/moshkovskii. Sangat bergantung pada keahlian operator. Membutuhkan sampel segar. |
Deteksi Antigen (ELISA) | Tinja | 80-99 | 86-98 | Spesifik untuk E. histolytica, cepat, mudah dilakukan, tidak terlalu bergantung pada operator. | Membutuhkan sampel tinja segar atau beku (antigen rusak oleh fiksatif). Kurang sensitif dibandingkan PCR. |
Serologi (Deteksi Antibodi) | Serum | >95 (untuk AHA) | >90 | Sangat berguna untuk diagnosis AHA dan penyakit ekstraintestinal lainnya. Cepat dan hemat biaya. | Tidak bisa membedakan infeksi aktif dan lampau di daerah endemis. Kurang berguna untuk kolitis ameba tanpa komplikasi. |
PCR (Tes Molekuler) | Tinja, Cairan Abses | 92-100 | 89-100 | Standar Emas. Sangat sensitif dan spesifik. Dapat membedakan spesies dengan pasti. Dapat menggunakan sampel yang difiksasi. | Mahal, membutuhkan peralatan dan keahlian khusus. Ketersediaan terbatas di banyak daerah endemis. |
Tatalaksana farmakologis amoebiasis didasarkan pada prinsip fundamental yang harus dipahami oleh setiap klinisi untuk memastikan penyembuhan total dan mencegah penularan lebih lanjut.
Dogma sentral pengobatan amoebiasis invasif adalah terapi dua langkah. Ini berarti pengobatan harus menargetkan dua lokasi parasit: trofozoit yang menginvasi jaringan (dinding usus, hati) dan kista yang berada di dalam lumen usus. Metronidazole dan nitroimidazole lainnya sangat efektif dalam membunuh trofozoit di jaringan tetapi memiliki konsentrasi yang buruk di lumen usus, sehingga tidak efektif untuk mengeradikasi kista.
Kegagalan untuk memberikan langkah kedua, yaitu agen luminal untuk membunuh kista, adalah kesalahan tatalaksana yang umum. Hal ini akan menyebabkan pasien sembuh secara klinis dari gejala akut, tetapi tetap menjadi pembawa kista asimtomatik.
Kondisi ini menciptakan dua risiko serius: pertama, risiko kekambuhan penyakit invasif di masa depan pada pasien itu sendiri, dan kedua, pasien tersebut akan terus menularkan kista infektif ke lingkungannya. Oleh karena itu, terapi dua langkah ini harus dianggap sebagai standar perawatan yang tidak dapat ditawar untuk semua kasus amoebiasis invasif.
Agen ini adalah lini pertama untuk mengobati penyakit invasif seperti kolitis ameba dan abses hati ameba.
Metronidazole: Merupakan obat pilihan utama dan paling banyak digunakan. Obat ini bekerja dengan cara merusak DNA parasit setelah diaktifkan dalam lingkungan anaerobik. Dosis pediatrik standar adalah 35-50 mg/kg/hari, dibagi dalam tiga dosis, diberikan secara oral. Untuk kasus yang parah atau jika pasien tidak dapat mentolerir obat oral, metronidazole dapat diberikan secara intravena.
Tinidazole: Merupakan derivat nitroimidazole generasi kedua yang memiliki waktu paruh lebih panjang dibandingkan metronidazole. Keunggulan utamanya adalah durasi pengobatan yang lebih singkat (3-5 hari dibandingkan 5-10 hari untuk metronidazole), yang dapat meningkatkan kepatuhan pasien. Dosis pediatriknya adalah 50 mg/kg/hari sebagai dosis tunggal.
Agen ini bekerja di dalam lumen usus dan sangat penting untuk mengeradikasi kista E. histolytica.
Paromomycin: Merupakan aminoglikosida yang tidak diserap dari usus, menjadikannya obat pilihan utama sebagai agen luminal. Diberikan setelah menyelesaikan terapi dengan agen jaringan untuk kasus invasif. Paromomycin juga merupakan monoterapi pilihan untuk mengobati pembawa kista asimtomatik. Dosis pediatriknya adalah 25-35 mg/kg/hari, dibagi dalam tiga dosis, selama 7 hari. Penting untuk tidak memberikan paromomycin bersamaan dengan metronidazole, karena efek samping diare dari paromomycin dapat mengaburkan penilaian respons terhadap terapi metronidazole.
Alternatif: Jika paromomycin tidak tersedia, alternatif lain dapat digunakan. Iodoquinol (dosis 30-40 mg/kg/hari dibagi 3 dosis selama 20 hari) dan Diloxanide furoate (dosis 20 mg/kg/hari dibagi 3 dosis selama 10 hari) adalah pilihan lainnya. Namun, iodoquinol memiliki potensi efek samping neurotoksisitas (neuritis optik) dan harus digunakan dengan hati-hati.
Tabel 2: Panduan Dosis Obat Amoebiasis pada Anak
Kondisi Klinis | Obat Pilihan | Dosis Harian Pediatrik | Durasi (hari) | Alternatif & Catatan Penting |
Pembawa Asimtomatik (Infeksi Luminal) | Paromomycin | 25–35 mg/kg/hari, p.o., dibagi 3 dosis | 7 | Iodoquinol: 30–40 mg/kg/hari, p.o., dibagi 3 dosis, selama 20 hari. Diloxanide furoate: 20 mg/kg/hari, p.o., dibagi 3 dosis, selama 10 hari. |
Kolitis Ameba (Penyakit Invasif) | Metronidazole (diikuti agen luminal) | 35–50 mg/kg/hari, p.o., dibagi 3 dosis | 5–10 | Tinidazole: 50 mg/kg/hari, p.o., dosis tunggal, selama 3–5 hari. SELALU ikuti dengan terapi agen luminal (Paromomycin, dll.) setelah selesai. |
Abses Hati Ameba (Penyakit Ekstraintestinal) | Metronidazole (diikuti agen luminal) | 35–50 mg/kg/hari, p.o. atau i.v., dibagi 3 dosis | 10 | Tinidazole: 50 mg/kg/hari, p.o., dosis tunggal, selama 5 hari. SELALU ikuti dengan terapi agen luminal (Paromomycin, dll.) setelah selesai. |
Manajemen AHA telah mengalami pergeseran paradigma yang signifikan selama beberapa dekade terakhir, beralih dari intervensi bedah yang agresif ke pendekatan yang lebih konservatif dengan mengutamakan terapi medis.
Untuk sebagian besar kasus AHA tanpa komplikasi, terapi medis adalah pengobatan definitif dan satu-satunya yang diperlukan. Terapi ini terdiri dari pemberian agen jaringan (Metronidazole atau Tinidazole) dengan dosis dan durasi yang sesuai untuk penyakit ekstraintestinal, yang wajib diikuti oleh pemberian agen luminal untuk mengeradikasi parasit di usus. Dengan terapi medis yang adekuat, sebagian besar pasien menunjukkan perbaikan klinis yang cepat, dengan demam dan nyeri yang mereda dalam beberapa hari.
Drainase abses, baik melalui aspirasi jarum maupun pemasangan kateter, tidak lagi dilakukan secara rutin untuk semua pasien AHA. Studi-studi terkini menunjukkan bahwa untuk abses yang tidak rumit, penambahan drainase pada terapi metronidazole tidak selalu mempercepat penyembuhan atau mempersingkat masa rawat inap, meskipun pada beberapa kasus dapat mempercepat peredaan nyeri.
Intervensi drainase sekarang dicadangkan untuk situasi klinis spesifik di mana risiko komplikasi tinggi atau respons terhadap terapi medis tidak adekuat. Indikasi yang diterima secara luas untuk melakukan drainase meliputi:
Tidak adanya respons klinis: Jika demam dan nyeri tidak membaik secara signifikan setelah 5 hingga 7 hari terapi medis yang adekuat.
Risiko ruptur yang tinggi: Ini biasanya dipertimbangkan pada abses yang sangat besar (diameter >5 cm hingga >7 cm).
Lokasi abses di lobus kiri hati: Abses di lobus kiri memiliki risiko lebih tinggi untuk ruptur ke dalam rongga perikardium, suatu komplikasi yang berpotensi fatal (tamponade jantung). Oleh karena itu, banyak ahli merekomendasikan drainase untuk abses di lokasi ini terlepas dari ukurannya.
Kecurigaan ko-infeksi bakteri: Jika terdapat bukti klinis atau radiologis yang mengarah pada abses piogenik sekunder.
Kehamilan: Untuk menghindari paparan metronidazole yang berkepanjangan pada janin.
Ketika drainase diindikasikan, prosedur ini hampir selalu dilakukan secara perkutan di bawah panduan pencitraan (USG atau CT scan). Dua teknik utama adalah aspirasi jarum perkutan (percutaneous needle aspiration, PNA) dan drainase kateter perkutan (percutaneous catheter drainage, PCD).
Untuk abses yang besar dan cair, PCD seringkali lebih disukai karena memungkinkan drainase yang berkelanjutan dan telah terbukti memiliki tingkat keberhasilan yang lebih tinggi serta resolusi abses yang lebih cepat dibandingkan aspirasi tunggal. Drainase bedah terbuka sekarang sangat jarang diperlukan dan hanya dipertimbangkan untuk kasus-kasus yang sangat rumit, seperti abses yang ruptur ke rongga peritoneum dengan peritonitis difus.
Tabel 3: Indikasi Intervensi Drainase pada Abses Hati Ameba (AHA) pada Anak
Kategori | Kriteria Indikasi | Pertimbangan Klinis | Rekomendasi |
Respons terhadap Terapi | Tidak ada perbaikan klinis (demam, nyeri) setelah 5-7 hari terapi metronidazole. | Menunjukkan kemungkinan resistensi, diagnosis lain, atau abses yang sangat besar yang tidak dapat diatasi oleh obat saja. | Lakukan drainase perkutan (PCD lebih disukai). |
Ukuran Abses | Diameter kavitas abses >5 cm. | Ukuran besar meningkatkan tekanan intra-abses dan risiko ruptur spontan. | Pertimbangkan drainase perkutan, terutama jika disertai faktor risiko lain atau respons klinis yang lambat. |
Lokasi Abses | Abses terletak di lobus kiri hati. | Risiko tinggi ruptur ke perikardium, yang dapat menyebabkan tamponade jantung dan kematian. | Lakukan drainase perkutan terlepas dari ukuran atau respons klinis awal. |
Komplikasi | Tanda-tanda ruptur yang akan segera terjadi (misalnya, penipisan dinding abses yang signifikan). | Intervensi darurat diperlukan untuk mencegah peritonitis atau pleuritis. | Lakukan drainase perkutan segera. |
Diagnosis Tidak Pasti | Tidak mungkin membedakan secara pasti antara AHA dan abses piogenik berdasarkan gambaran klinis dan radiologis. | Aspirasi diagnostik diperlukan untuk kultur bakteri dan pemeriksaan mikroskopis. | Lakukan aspirasi diagnostik/terapeutik. |
Diare berdarah pada anak adalah tanda bahaya yang memerlukan evaluasi cermat. Amoebiasis hanyalah salah satu dari banyak kemungkinan penyebab. Anamnesis yang cermat mengenai onset, frekuensi, karakteristik tinja, gejala penyerta, riwayat perjalanan, dan kondisi sanitasi lingkungan sangat penting untuk mempersempit diagnosis banding.
Penyebab Infeksius Lainnya: Ini adalah diagnosis banding yang paling umum.
Shigellosis: Seringkali menyebabkan disentri yang lebih parah dengan demam yang lebih tinggi dibandingkan amoebiasis.
Campylobacter jejuni: Penyebab umum diare berdarah di banyak negara.
Salmonella (non-tifoid): Dapat menyebabkan gastroenteritis dengan tinja berdarah.
Escherichia coli penghasil toksin Shiga (STEC), misal O157:H7: Sangat penting untuk dipertimbangkan karena pemberian antibiotik pada infeksi STEC dapat meningkatkan risiko Sindrom Uremik Hemolitik (HUS), suatu komplikasi ginjal yang serius.
Penyebab Non-Infeksius:
Intususepsi: Terutama pada bayi dan anak kecil (<2 tahun), dapat muncul dengan trias klasik nyeri perut kolik, massa teraba di abdomen, dan tinja "jeli kismis" (currant jelly stool). Ini adalah keadaan darurat bedah.
Penyakit Radang Usus (Inflammatory Bowel Disease, IBD): Seperti Kolitis Ulserativa atau Penyakit Crohn, biasanya terjadi pada anak yang lebih besar atau remaja dan memiliki perjalanan yang lebih kronis atau berulang.
Kolitis Alergi: Terutama pada bayi, seringkali terkait dengan alergi protein susu sapi.
Probabilitas penyebab sangat bervariasi tergantung pada konteks geografis. Di negara berkembang seperti Indonesia, penyebab infeksius seperti amoebiasis dan shigellosis jauh lebih mungkin menjadi penyebab disentri akut dibandingkan IBD. Sebaliknya, di negara maju, IBD dan infeksi bakteri seperti Campylobacter atau STEC mungkin lebih umum.
Malnutrisi dan Imunosupresi: Anak-anak dengan status gizi buruk, infeksi HIV, atau kondisi imunosupresif lainnya memiliki risiko yang jauh lebih tinggi untuk mengalami penyakit amoebiasis invasif yang parah dan komplikasi. Pada populasi ini, respons terhadap terapi mungkin lebih lambat, dan kebutuhan akan terapi suportif, terutama dukungan nutrisi, menjadi sama pentingnya dengan terapi antiparasit itu sendiri. Hubungan antara amoebiasis dan malnutrisi menciptakan lingkaran setan: infeksi memperburuk malnutrisi, dan malnutrisi melemahkan sistem imun, membuat anak lebih rentan terhadap infeksi yang lebih parah. Memutus siklus ini dengan mengobati amoebiasis secara efektif adalah intervensi nutrisi yang krusial.
Amoebiasis tetap menjadi tantangan klinis yang signifikan dalam praktik pediatri, terutama di daerah endemis seperti Indonesia. Berdasarkan bukti ilmiah terkini, beberapa poin kunci harus menjadi pedoman bagi para dokter umum dalam tatalaksana pasien anak:
Tingkatkan Kewaspadaan Klinis: Jangan menganggap remeh amoebiasis sebagai "penyakit pelancong". Ini adalah penyebab penting disentri dan abses hati pada anak-anak di Indonesia. Pertahankan indeks kecurigaan yang tinggi pada setiap anak dengan diare berdarah atau demam dengan nyeri perut kuadran kanan atas.
Gunakan Diagnosis yang Tepat: Hindari ketergantungan berlebihan pada mikroskopi. Jika memungkinkan, gunakan tes diagnostik yang lebih unggul seperti deteksi antigen spesifik E. histolytica atau PCR untuk memastikan diagnosis yang akurat dan membedakannya dari spesies non-patogen.
Patuhi Terapi Dua Langkah: Untuk semua kasus amoebiasis invasif (kolitis atau AHA), pengobatan dengan agen jaringan (Metronidazole/Tinidazole) wajib diikuti dengan agen luminal (Paromomycin) untuk mengeradikasi kista di usus. Kegagalan melakukan ini dapat menyebabkan kekambuhan dan penularan berkelanjutan.
Terapkan Pendekatan Konservatif untuk AHA: Terapi medis adalah lini pertama untuk AHA tanpa komplikasi. Intervensi drainase hanya diindikasikan untuk kasus-kasus spesifik seperti kegagalan terapi medis, risiko ruptur yang tinggi, atau lokasi di lobus kiri.
Obati Pembawa Asimtomatik: Mengobati individu tanpa gejala yang terdiagnosis dengan infeksi E. histolytica adalah strategi kesehatan masyarakat yang penting untuk memutus rantai penularan di komunitas.w
Meskipun kemajuan telah dicapai, masih ada tantangan yang perlu diatasi. Ke depan, prioritas penelitian dan pengembangan harus difokuskan pada beberapa area kritis. Pertama, ada kebutuhan mendesak untuk pengembangan alat diagnostik point-of-care yang cepat, akurat, dan terjangkau untuk digunakan di fasilitas dengan sumber daya terbatas, guna menjembatani kesenjangan diagnostik saat ini.
Kedua, meskipun metronidazole masih sangat efektif, laporan sporadis mengenai penurunan sensitivitas dan potensi efek sampingnya menyoroti perlunya pengembangan obat-obatan antiamoeba baru dengan mekanisme kerja yang berbeda dan profil keamanan yang lebih baik. Terakhir, upaya berkelanjutan dalam perbaikan sanitasi, penyediaan air bersih, dan pendidikan kesehatan tetap menjadi landasan utama dalam pencegahan dan pengendalian amoebiasis secara jangka panjang.
Significance of amebiasis: 10 reasons why neglecting amebiasis might come back to bite us in the gut - PubMed Central, accessed July 23, 2025, https://pmc.ncbi.nlm.nih.gov/articles/PMC6855409/
Prevalence and associated risk factors of Entamoeba histolytica infection among school children from three primary schools in Arsi Town, West Zone, Ethiopia - PMC - PubMed Central, accessed July 23, 2025, https://pmc.ncbi.nlm.nih.gov/articles/PMC9458809/
Intestinal Amebiasis: A Concerning Cause of Acute Gastroenteritis Among Hospitalized Lebanese Children - PMC, accessed July 23, 2025, https://pmc.ncbi.nlm.nih.gov/articles/PMC3877530/
Entamoeba histolytica Infection in Children and Protection from Subsequent Amebiasis, accessed July 23, 2025, https://pmc.ncbi.nlm.nih.gov/articles/PMC1360358/
Amoebic Dysentery Complicated by Hypovolemic Shock and Sepsis ..., accessed July 23, 2025, https://pmc.ncbi.nlm.nih.gov/articles/PMC9865698/
Amebiasis and Amebic Liver Abscess in Children - PubMed, accessed July 23, 2025, https://pubmed.ncbi.nlm.nih.gov/34794678/
Entamoeba histolytica Infection - StatPearls - NCBI Bookshelf, accessed July 23, 2025, https://www.ncbi.nlm.nih.gov/books/NBK557718/
A Review of the Global Burden, New Diagnostics, and Current ..., accessed July 23, 2025, https://pmc.ncbi.nlm.nih.gov/articles/PMC6055529/
Occult Amebiasis among Pediatric with Enterocolitis in National ..., accessed July 23, 2025, https://pmc.ncbi.nlm.nih.gov/articles/PMC11224034/
Amebic liver abscess: spare the knife but save the child - PubMed, accessed July 23, 2025, https://pubmed.ncbi.nlm.nih.gov/9473115/
Infantile Amoebiasis: A Case Report - PMC, accessed July 23, 2025, https://pmc.ncbi.nlm.nih.gov/articles/PMC3388279/
Amebic Liver Abscess - StatPearls - NCBI Bookshelf, accessed July 23, 2025, https://www.ncbi.nlm.nih.gov/books/NBK430832/
Amebic liver abscess in children - PubMed, accessed July 23, 2025, https://pubmed.ncbi.nlm.nih.gov/8265284/
Laboratory Diagnosis of Amebiasis - PMC, accessed July 23, 2025, https://pmc.ncbi.nlm.nih.gov/articles/PMC207118/
Tinidazole in treatment of amoebic liver abscess in children - PubMed, accessed July 23, 2025, https://pubmed.ncbi.nlm.nih.gov/869571/
Amebic liver abscess: An update - PMC, accessed July 23, 2025, https://pmc.ncbi.nlm.nih.gov/articles/PMC10989314/
Management of Liver Abscess in Children: Our Experience - PMC, accessed July 23, 2025, https://pmc.ncbi.nlm.nih.gov/articles/PMC5663769/
Management of bloody diarrhoea in children in primary care - PMC, accessed July 23, 2025, https://pmc.ncbi.nlm.nih.gov/articles/PMC2364807/
Gastrointestinal bleeding in children: diagnostic approach - PMC - PubMed Central, accessed July 23, 2025, https://pmc.ncbi.nlm.nih.gov/articles/PMC10807079/
Etiologies of bloody diarrhea in children presenting with acute gastroenteritis to US emergency departments, accessed July 23, 2025, https://pmc.ncbi.nlm.nih.gov/articles/PMC11023649/
Improving Care for Children with Bloody Diarrhea at Risk for Hemolytic Uremic Syndrome, accessed July 23, 2025, https://pmc.ncbi.nlm.nih.gov/articles/PMC8782105/
Bloody diarrhea in children - PubMed, accessed July 23, 2025, https://pubmed.ncbi.nlm.nih.gov/2487818/