17 Jan 2026 • Orthopedi
Laporan ini menyintesis bukti ilmiah terkini dari literatur yang terindeks di PubMed untuk menyediakan kerangka kerja definitif bagi alur diagnostik pencitraan pada kasus trauma akut genu. Laporan ini membahas tantangan klinis dalam proses diagnostik, mulai dari presentasi awal pasien hingga penegakan diagnosis yang presisi, dengan menekankan penggunaan radiografi polos dan Magnetic Resonance Imaging (MRI) secara tepat dan berurutan.
Tujuan utamanya adalah untuk membekali spesialis ortopedi dengan sumber daya komprehensif yang dapat digunakan baik dalam praktik klinis maupun untuk edukasi dokter layanan primer. Laporan ini tidak hanya merinci apa yang harus dicari, tetapi juga menjelaskan mengapa temuan-temuan spesifik tersebut krusial dalam menentukan mekanisme cedera dan memandu tatalaksana pasien.
Bagian ini menetapkan prinsip krusial mengenai pencitraan selektif, menentang penggunaan radiografi secara rutin untuk semua cedera lutut. Bagian ini akan merinci perangkat berbasis bukti yang memberdayakan klinisi untuk membuat keputusan pencitraan yang bijaksana, hemat biaya, dan aman pada titik layanan.
Proses diagnostik untuk trauma akut genu tidak dimulai di unit radiologi, melainkan dengan pemeriksaan klinis yang menyeluruh. Anamnesis, yang mencakup mekanisme cedera (misalnya, jatuh, gerakan memutar), dan temuan pemeriksaan fisik, seperti nyeri tekan fokal, efusi, dan ketidakmampuan menopang berat badan, merupakan faktor-faktor terpenting dalam menentukan kebutuhan akan pencitraan.
Pendekatan yang mengutamakan klinis ini didukung oleh American College of Radiology (ACR) Appropriateness Criteria, yang memposisikan pencitraan sebagai alat untuk mengonfirmasi atau memperjelas kecurigaan klinis, bukan sebagai tes skrining.

Persentase yang signifikan dari radiografi lutut yang diminta di unit gawat darurat menunjukkan hasil negatif untuk fraktur. Penelitian menunjukkan bahwa fraktur hanya ditemukan pada sekitar 5-6% pasien dengan cedera lutut akut yang menjalani radiografi.
Satu studi mencatat bahwa meskipun 74% pasien menerima radiografi, hanya 5.2% yang terbukti mengalami fraktur. Fakta ini menyoroti peluang besar untuk mengurangi biaya perawatan kesehatan, waktu tunggu pasien, dan paparan radiasi yang tidak perlu melalui penerapan aturan keputusan klinis yang tervalidasi.
Aturan Lutut Ottawa adalah instrumen yang sangat sensitif yang dirancang untuk menyingkirkan kemungkinan fraktur lutut dengan akurasi yang mendekati sempurna, sehingga mengurangi kebutuhan akan radiografi.
Kriteria untuk Radiografi (minimal salah satu harus terpenuhi):
Usia 55 tahun atau lebih.
Nyeri tekan terisolasi pada patela (tanpa adanya nyeri tekan pada tulang lain).
Nyeri tekan pada kaput fibula.
Ketidakmampuan untuk menekuk lutut hingga 90 derajat.
Ketidakmampuan untuk menopang berat badan baik segera setelah cedera maupun di unit gawat darurat (tidak mampu berjalan empat langkah).
(Sumber untuk semua kriteria: , dengan konteks pendukung dari ).
Performa: Aturan ini telah menunjukkan sensitivitas 97-100% dalam mendeteksi fraktur yang signifikan secara klinis. Jika hasil penerapan aturan ini negatif, probabilitas adanya fraktur secara efektif adalah nol. Penerapannya dapat menghasilkan pengurangan relatif dalam penggunaan radiografi sebesar 28-41%.
Aturan Keputusan Pittsburgh menawarkan algoritma yang berbeda dan lebih spesifik.
Kriteria untuk Radiografi:
Terdapat riwayat trauma tumpul atau jatuh sebagai mekanisme cedera.
DITAMBAH salah satu dari berikut ini:
Usia lebih muda dari 12 tahun atau lebih tua dari 50 tahun.
Ketidakmampuan untuk berjalan empat langkah dengan menopang berat badan di unit gawat darurat.
(Sumber untuk semua kriteria: ).
Performa: Sebuah studi komparatif menemukan bahwa Aturan Pittsburgh memiliki sensitivitas 99% dan spesifisitas 60%, dengan potensi mengurangi penggunaan radiografi hingga 52%. Spesifisitas yang lebih tinggi ini dibandingkan dengan Aturan Ottawa (27%) berarti aturan ini lebih baik dalam mengidentifikasi pasien yang sebenarnya tidak memerlukan foto Rontgen.
Penerapan aturan-aturan ini bukan sekadar perbandingan akademis, melainkan sebuah keputusan praktis yang dipengaruhi oleh lingkungan klinis dan toleransi risiko. Data menunjukkan adanya trade-off langsung antara sensitivitas dan spesifisitas. Aturan Pittsburgh lebih spesifik (60% vs 27%), yang mengarah pada pengurangan volume pencitraan yang lebih besar (52% vs ~28%), sementara Aturan Ottawa sedikit lebih sensitif dalam beberapa studi dan lebih dikenal luas.
Hal ini menyiratkan adanya pilihan antara memaksimalkan penghematan sumber daya (Pittsburgh) atau mengikuti standar yang lebih mapan dan sedikit lebih berhati-hati (Ottawa). Bagi seorang dokter umum, pemahaman akan kedua aturan ini memberdayakan mereka untuk mengadaptasi praktik sesuai dengan konteks spesifik mereka, menyeimbangkan antara ketelitian klinis, pengelolaan sumber daya, dan pertimbangan medikolegal.
Tabel 1: Perbandingan Efektivitas Aturan Keputusan Ottawa dan Pittsburgh
Aturan Keputusan | Sensitivitas | Spesifisitas | Potensi Pengurangan Radiografi | Ringkasan Kriteria Kunci |
Aturan Lutut Ottawa | 97%–100% | 27% | 28%–41% | Salah satu dari: Usia ≥55, nyeri tekan patela terisolasi, nyeri tekan kaput fibula, tidak bisa fleksi 90°, tidak bisa menopang berat badan. |
Aturan Pittsburgh | 99% | 60% | 52% | Trauma tumpul/jatuh DAN (Usia <12 atau >50 ATAU tidak bisa menopang berat badan). |
Bagian ini akan melatih pembaca untuk melihat radiografi polos bukan hanya sebagai alat deteksi fraktur, tetapi sebagai sumber petunjuk halus yang dapat mengungkap cedera jaringan lunak berat yang mendasarinya dan memerlukan investigasi lebih lanjut dengan MRI.
Pencitraan awal hampir selalu dimulai dengan radiografi. Seri standar harus mencakup setidaknya dua proyeksi yang saling tegak lurus: anteroposterior (AP) dan lateral. Proyeksi lateral dengan sinar horizontal (horizontal-beam lateral view) sangat penting karena dapat mengungkap adanya level lemak-cairan (lipohemarthrosis), yang merupakan tanda definitif dari fraktur intra-artikular, bahkan jika garis frakturnya sendiri tidak terlihat.
Radiografi adalah modalitas utama untuk mengidentifikasi fraktur yang jelas pada femur distal, plateau tibia, dan patela. Meskipun hanya 5% radiografi lutut di UGD yang menunjukkan fraktur, 86% dari semua fraktur lutut disebabkan oleh trauma tumpul, yang menggarisbawahi pentingnya radiografi ketika mekanisme dan tanda-tanda klinisnya sesuai.
Gambar 1. Fraktur pada pole bawah patella

Seni sejati dalam menginterpretasikan radiografi lutut pada kasus trauma terletak pada kemampuan mengenali tanda-tanda halus yang bersifat patognomonik untuk cedera jaringan lunak yang parah. Temuan-temuan ini sering kali menjadi justifikasi utama untuk eskalasi ke MRI.
Fraktur Segond: Fraktur avulsi kecil pada plateau tibia lateral. Temuan ini dianggap patognomonik untuk robekan Anterior Cruciate Ligament (ACL) yang menyertainya dan merupakan indikasi kuat untuk MRI.
Gambar 2. Fraktur Segond (panah), avulsi kortikal pada proximal lateral tibial plateu yang juga melibatkan kapsul lateral

Tanda Sulkus Femoralis Lateral yang Dalam (Deep Lateral Femoral Sulcus Sign): Depresi atau takik pada kondilus femoralis lateral, yang merepresentasikan fraktur impaksi dari tibia selama mekanisme pivot-shift. Ini adalah tanda sekunder lain yang sangat spesifik untuk robekan ACL.
Fraktur Avulsi Kunci Lainnya:
Fraktur Arkuata: Avulsi kaput fibula pada insersi kompleks ligamen arkuata, mengindikasikan cedera posterolateral corner (PLC).
Avulsi Spina Tibia: Avulsi perlekatan tulang ACL pada tibia, paling umum pada pasien yang lebih muda.
Tanda Translokasi Tibia Anterior (Anterior Tibial Translocation Sign): Tanda pada film polos di mana tibia bergeser ke anterior relatif terhadap femur, yang secara langsung memvisualisasikan instabilitas yang disebabkan oleh robekan ACL.
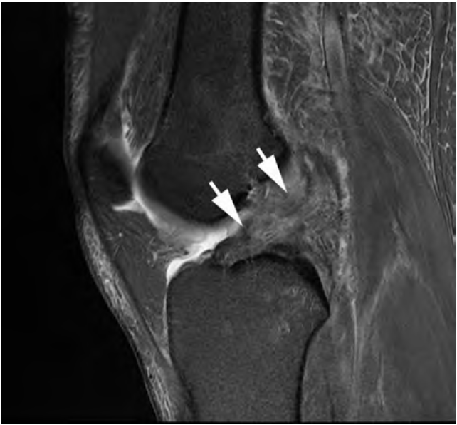
Gambar 3. Ruptur pada ACL (panah)

Kehadiran fraktur avulsi yang halus, seperti fraktur Segond, bukanlah temuan yang terisolasi; ini adalah hasil langsung dari gaya tarik (tensile) pada ligamen selama peristiwa cedera yang parah. Tulang pada titik insersi mengalami kegagalan sebelum ligamen itu sendiri. Oleh karena itu, melihat fraktur Segond pada foto Rontgen secara fungsional setara dengan melihat "jejak kaki" dari robekan ACL. Pemahaman ini mengubah radiografi dari alat pencitraan tulang menjadi alat skrining jaringan lunak yang kuat. Bagi seorang dokter umum, pengetahuan ini dapat mengubah praktik secara fundamental. Pasien dengan fraktur "chip" yang tampaknya "minor" (fraktur Segond) pada foto Rontgen mungkin akan dikelola secara konservatif. Namun, pemahaman bahwa tanda ini memiliki asosiasi hampir 100% dengan robekan ACL menuntut perubahan tatalaksana segera: non-beban tumpu, imobilisasi lutut, dan rujukan segera ke ortopedi untuk kemungkinan evaluasi MRI dan bedah. Hal ini mencegah kesalahan diagnosis cedera ligamen mayor sebagai "keseleo" atau fraktur minor, sehingga menghindari instabilitas sekunder dan degenerasi sendi jangka panjang.
Radiografi polos secara fundamental terbatas dalam kemampuannya untuk memvisualisasikan jaringan lunak. Modalitas ini tidak dapat secara langsung menunjukkan robekan ligamen, robekan meniskus, atau kerusakan kartilago. Bahkan dalam kasus-kasus kelainan internal yang serius, radiografi mungkin tampak sepenuhnya normal. Oleh karena itu, hasil radiografi "negatif" pada pasien dengan gejala mekanis atau instabilitas yang persisten tidak menyingkirkan kemungkinan adanya cedera yang signifikan.
Bagian ini menetapkan MRI sebagai modalitas definitif untuk menilai spektrum penuh trauma lutut, dengan fokus pada kemampuannya untuk tidak hanya mengidentifikasi robekan spesifik tetapi juga untuk menyimpulkan mekanisme cedera melalui pola-pola yang khas.
MRI adalah pemeriksaan pilihan untuk mengevaluasi sumsum tulang, kelainan internal (ligamen/meniskus), dan cedera jaringan lunak lainnya. Indikasi utamanya adalah kecurigaan klinis adanya kelainan internal, terutama ketika radiografi menunjukkan hasil negatif tetapi pasien memiliki gejala persisten seperti mengunci (locking), instabilitas, atau efusi.
MRI juga diindikasikan untuk mengevaluasi tingkat kerusakan pada trauma berenergi tinggi (misalnya, dislokasi lutut) dan untuk perencanaan pra-operasi. Penggunaan MRI dapat mengubah tatalaksana dari bedah menjadi konservatif pada hingga 48% pasien yang datang dengan lutut terkunci.
Kontusio sumsum tulang (atau "memar tulang"), yang terlihat sebagai edema pada sekuens MRI yang sensitif terhadap cairan, tidak terjadi secara acak. Lokasi dan polanya yang spesifik ditentukan oleh biomekanika cedera.
Impaksi vs. Distraksi: Beban kompresif menyebabkan kontusio sumsum tulang dan fraktur impaksi di mana tulang saling bertabrakan. Sebaliknya, beban tarik menyebabkan distraksi dan mengakibatkan robekan ligamen serta fraktur avulsi.
Dengan mempelajari distribusi edema sumsum tulang, seorang ahli radiologi atau klinisi dapat secara akurat menentukan mekanisme cedera dan memprediksi kerusakan jaringan lunak terkait dengan tingkat kepercayaan yang tinggi. Tandadeep lateral femoral sulcus pada foto Rontgen dan pola edema sumsum tulangpivot shift pada MRI adalah dua pandangan dari peristiwa yang sama persis: impaksi kondilus femoralis lateral terhadap plateau tibia posterolateral selama robekan ACL. Hal ini menghubungkan temuan dari dua modalitas yang berbeda menjadi satu narasi cedera yang koheren. Ini menunjukkan bagaimana temuan Rontgen yang halus dapat memprediksi pola MRI yang spesifik dan kompleks.
Mengajarkan dokter umum untuk berpikir dalam kerangka pola cedera daripada temuan terisolasi merupakan sebuah pergeseran paradigma. Alih-alih menggunakan daftar periksa sederhana ("Apakah ACL robek? Ya/Tidak"), pendekatannya menjadi "Apakah temuan-temuan ini sesuai dengan pola pivot-shift?" Pandangan holistik ini, yang dipandu oleh edema sumsum tulang, lebih kuat.
Ini memungkinkan klinisi untuk mengantisipasi cedera lain (misalnya, robekan meniskus, cedera MCL) yang biasa terjadi dengan pola tersebut, yang mengarah pada diagnosis yang lebih komprehensif dan mencegah cedera penyerta yang terlewat, yang merupakan penyebab utama morbiditas dan kegagalan rekonstruksi.
Tabel 2: Pola Diagnostik Kontusio Sumsum Tulang dan Cedera Terkait
Nama Pola Cedera | Mekanisme | Lokasi Edema Sumsum Tulang Klasik | Cedera Jaringan Lunak yang Sangat Terkait |
Pivot Shift | Stres valgus & rotasi internal | Plateau tibia posterolateral & bagian tengah kondilus femoralis lateral | Robekan ACL, seringkali dengan robekan meniskus/cedera MCL. |
Dashboard Injury | Hantaman AP langsung pada lutut tertekuk | Tibia proksimal anterior | Robekan PCL. |
Hiperekstensi | Ekstensi paksa | Kontusio "ciuman" (kissing) pada tibia anterior & femur anterior | Robekan ACL dan/atau PCL. |
Clip Injury | Gaya valgus tanpa rotasi | Kondilus femoralis lateral (menonjol) & kondilus femoralis medialis (lebih kecil) | Robekan MCL. |
Dislokasi Patela Lateral | Cedera memutar | Faset patela medial & kondilus femoralis lateral | Robekan medial patellofemoral ligament (MPFL). |
Bagian ini memberikan panduan terperinci mengenai tanda-tanda MRI primer dan sekunder yang spesifik untuk ligamen lutut yang paling sering mengalami cedera.
Anatomi & Bidang Pencitraan: ACL paling baik divisualisasikan pada bidang sagital dan koronal. Ligamen ini memiliki dua berkas (bundle), yaitu anteromedial dan posterolateral, yang terkadang dapat dibedakan. MRI memiliki sensitivitas yang sangat tinggi (83-100%) dan spesifisitas (96-100%) untuk robekan total.
Tanda Primer Ruptur (Visualisasi langsung ligamen):
Diskontiunitas Serat: Adanya celah yang jelas pada ligamen. Serat-serat normal yang gelap dan tegang digantikan oleh gumpalan yang tidak teratur atau sama sekali tidak terlihat (empty notch sign).
Peningkatan Sinyal: Intensitas sinyal tinggi (terang pada sekuens T2 atau PD dengan penekanan lemak) di dalam substansi ligamen, yang mewakili edema dan perdarahan.
Orientasi Abnormal: Ligamen yang robek kehilangan tegangannya dan menjadi lebih horizontal, tampak sejajar dengan garis Blumensaat (atap interkondilar) daripada orientasinya yang normal dan lebih curam.
Tanda Sekunder Ruptur (Kerusakan kolateral):
Edema Sumsum Tulang: Pola klasik pivot shift seperti yang dijelaskan pada Tabel 2. Ini adalah tanda pendukung yang kuat.
Translasi Tibia Anterior: Pergeseran tibia ke anterior lebih dari 7 mm relatif terhadap femur, sebuah visualisasi langsung dari instabilitas.
Tanduk Posterior Meniskus Lateral yang Tidak Tertutup (Uncovered Posterior Horn of the Lateral Meniscus): Akibat pergeseran tibia ke anterior, aspek posterior meniskus lateral tidak lagi "tertutup" oleh femur.
PCL Buckling: PCL mungkin tampak memiliki kurva atau lengkungan yang berlebihan saat tibia bergeser ke depan.
Membedakan Jenis Robekan:
Robekan Parsial: Ligamen mungkin tampak menebal dengan sinyal internal yang tinggi, tetapi serat-seratnya tetap kontinu. Sensitivitas MRI lebih rendah untuk robekan parsial. Tanda celah (
gap sign) antara ligamen dan kondilus femoralis lateral dapat mengindikasikan robekan terisolasi pada berkas posterolateral.
Robekan Kronis: Edema mungkin telah mereda. Ligamen bisa tidak ada (empty notch sign) atau membentuk jaringan parut yang menempel pada PCL.
Robekan PCL: Sering dikaitkan dengan dashboard injuries. MRI akan menunjukkan diskontinuitas serat atau peningkatan sinyal di dalam PCL yang tebal dan normalnya gelap.
Robekan Medial Collateral Ligament (MCL): Umumnya akibat stres valgus (clip injury). Dinilai berdasarkan tingkat keparahan: Derajat 1 (keseleo) menunjukkan edema di sekitar ligamen; Derajat 2 (robekan parsial) menunjukkan sinyal tinggi dan penebalan; Derajat 3 (robekan total) menunjukkan diskontinuitas penuh serat. Edema sumsum tulang pada insersi femoral atau tibial adalah tanda yang membantu.
Cedera Lateral Collateral Ligament (LCL) dan Posterolateral Corner (PLC): Ini adalah cedera yang kompleks dan krusial untuk diidentifikasi karena cedera PLC yang terlewat dapat menyebabkan kegagalan rekonstruksi ACL. MRI sangat penting untuk mengevaluasi LCL, tendon popliteus, dan kompleks arkuata.
Diagnosis definitif robekan ACL jarang dibuat berdasarkan satu tanda saja. Justru konvergensi bukti—sebuah tanda primer (misalnya, diskontinuitas serat) yang dikombinasikan dengan beberapa tanda sekunder (misalnya, memar tulang pivot-shift, translasi tibia anterior, meniskus lateral yang tidak tertutup)—yang memberikan kepercayaan diagnostik yang mendekati kepastian. Konsep "konstelasi temuan" ini sangat penting untuk dipahami oleh non-spesialis.
Kehadiran tanda-tanda sekunder dapat mengonfirmasi adanya robekan bahkan ketika ligamen itu sendiri tidak tervualisasi dengan baik. Selain itu, perbedaan antara robekan ACL terisolasi dan robekan ACL dengan cedera PLC penyerta bukanlah hal akademis; ini secara fundamental mengubah rencana bedah. Pemahaman ini memungkinkan dokter umum untuk menetapkan ekspektasi pasien yang sesuai dan memahami mengapa cedera ACL yang "sederhana" mungkin memerlukan rekonstruksi multi-ligamen yang lebih kompleks, yang berdampak pada waktu pemulihan dan protokol rehabilitasi.
Gambar 4. Dua manuver untuk mendeteksi Posterior Cruciate Ligament

Bagian ini akan memberikan panduan terperinci untuk menginterpretasikan cedera pada meniskus dan kartilago artikular, dengan fokus pada klasifikasi morfologis robekan dan tanda-tanda kunci yang mengindikasikan instabilitas dan pergeseran.
Aturan "Sentuhan Dua Irisan" (Two-Slice Touch Rule): Kriteria yang paling diterima secara luas untuk robekan meniskus adalah adanya garis sinyal tinggi abnormal yang secara tegas meluas hingga menyentuh permukaan artikular (superior atau inferior) pada setidaknya dua irisan gambar yang terpisah (yang tidak harus berurutan).
Sinyal Intrameniskal: Sinyal tinggi yang tidak mencapai permukaan biasanya dianggap sebagai degenerasi intrasubstansi (Derajat 1 atau 2), terutama pada orang dewasa yang lebih tua, dan bukan merupakan robekan sejati.
Sekuens Pencitraan: Gambar sagital adalah yang paling sensitif untuk mendeteksi robekan meniskus, tetapi gambar koronal sangat penting untuk menilai korpus dan akar meniskus. Gambar T2-weighted membantu mengonfirmasi bahwa sinyal tinggi tersebut mewakili cairan di dalam robekan.
Robekan diklasifikasikan berdasarkan orientasinya :
Longitudinal-Vertikal: Sejajar dengan sumbu panjang meniskus. Robekan ini bisa bersifat perifer dan sering dikaitkan dengan robekan ACL.
Horizontal (Cleavage): Sejajar dengan plateau tibia, membagi meniskus menjadi bagian superior dan inferior. Sering bersifat degeneratif dan dapat menyebabkan kista parameniskal.
Radial: Tegak lurus terhadap sumbu panjang, dimulai dari tepi bebas dan meluas ke luar. Robekan ini signifikan secara biomekanis karena mengganggu "tegangan melingkar" (hoop stresses) meniskus, yang menyebabkan ekstrusi dan hilangnya fungsi.
Kompleks: Kombinasi dari dua atau lebih pola di atas, sering kali tampak terfragmentasi.
Signifikansi klinis dari sebuah robekan sering kali ditentukan oleh apakah sebuah fragmen telah bergeser, yang menyebabkan gejala mekanis seperti mengunci.
Robekan Bucket-Handle: Robekan longitudinal yang bergeser di mana fragmen dalam terbalik ke dalam takik interkondilar, menyerupai gagang ember.
Tanda "PCL Ganda" (Double PCL Sign): Pada pandangan sagital, fragmen yang bergeser terletak di anterior dan inferior dari PCL, menciptakan penampakan dua PCL.
Tanda "Dasi Kupu-Kupu yang Hilang" (Absent Bow-Tie Sign): Pada pandangan sagital, penampakan normal dua "dasi kupu-kupu" berturut-turut (mewakili tanduk anterior dan posterior) hilang karena korpus meniskus telah bergeser.
Tanda Fragmen-dalam-Takik (Fragment-in-Notch Sign): Pada pandangan koronal, struktur ketiga terlihat di dalam takik di samping ACL dan PCL.
Robekan Flap: Robekan horizontal yang bergeser.
Tanda Robekan Radial:
Tanda "Meniskus Hantu" (Ghost Meniscus Sign): Pada gambar sagital di mana meniskus seharusnya terlihat, meniskus tampak tidak ada karena irisan gambar sejajar sempurna dengan robekan radial total.
Tanda "Celah Berbaris" (Marching Cleft Sign): Serangkaian celah yang terlihat pada gambar sagital berurutan, mengindikasikan robekan radial.
Klasifikasi robekan (misalnya, radial vs. longitudinal) tidak hanya bersifat deskriptif; ia memiliki implikasi biomekanis yang mendalam. Robekan radial yang mengganggu serat kolagen sirkumferensial secara efektif "memotong tali," yang menyebabkan ekstrusi meniskus dan hilangnya fungsi peredam kejutnya secara total. Sebaliknya, robekan longitudinal yang stabil mungkin dapat diperbaiki.
Pemahaman ini menghubungkan morfologi MRI secara langsung dengan fungsi sendi dan pengambilan keputusan bedah (perbaikan vs. menisektomi). Seorang dokter umum yang memahami tanda-tanda ini dapat memprediksi gambaran klinis pasien dengan lebih baik. Pasien dengan laporan MRI yang mendeskripsikan "robekan bucket-handle" sangat mungkin datang dengan keluhan lutut yang benar-benar terkunci secara mekanis.
MRI sangat sensitif untuk mendeteksi cedera kondral (kartilago) dan respons tulang subkondral yang mendasarinya. Kehadiran edema sumsum tulang di bawah area kerusakan kartilago adalah temuan kunci, yang mengindikasikan dampak yang signifikan dan risiko lebih tinggi untuk osteoartritis pasca-trauma.
Tabel 3: Tanda-Tanda Kunci MRI untuk Mengidentifikasi Robekan Meniskus Spesifik dan yang Bergeser
Jenis Robekan/Nama Tanda | Deskripsi MRI | Morfologi Robekan Terkait | Signifikansi Klinis |
Double PCL Sign | Fragmen di anterior/inferior PCL pada pandangan sagital | Robekan longitudinal yang bergeser (Bucket-Handle) | Mengunci mekanis sejati. |
Fragment-in-Notch Sign | Struktur ketiga di dalam takik pada pandangan koronal | Robekan longitudinal yang bergeser (Bucket-Handle) | Mengonfirmasi fragmen yang bergeser. |
Absent Bow-Tie Sign | <2 dasi kupu-kupu pada irisan sagital berurutan | Robekan yang bergeser (sering Bucket-Handle) | Korpus meniskus bergeser. |
Ghost Meniscus Sign | Ketiadaan meniskus yang tampak pada satu irisan sagital | Robekan radial total | Robekan yang tidak stabil secara biomekanis. |
Kista Parameniskal | Kumpulan cairan di sebelah meniskus | Robekan horizontal | Mengindikasikan robekan kronis, mungkin teraba. |
Bagian akhir ini menjembatani analisis komprehensif kembali ke kebutuhan praktis pengguna, menyediakan kerangka kerja untuk alur kerja klinis
Alur diagnostik berikut ini secara visual merepresentasikan seluruh jalur dari presentasi awal pasien dengan trauma lutut akut hingga diagnosis akhir.
Presentasi Pasien: Pasien datang dengan keluhan trauma akut pada genu.
Pemeriksaan Klinis: Lakukan anamnesis (mekanisme cedera) dan pemeriksaan fisik (nyeri tekan, efusi, kemampuan menopang berat badan).
Aplikasi Aturan Keputusan Klinis: Terapkan Aturan Lutut Ottawa atau Pittsburgh untuk menentukan kebutuhan radiografi.
Titik Keputusan (Radiografi): Apakah radiografi diperlukan?
Jika Tidak: Lakukan tatalaksana konservatif dan evaluasi ulang jika gejala menetap.
Jika Ya: Lanjutkan ke langkah 5.
Lakukan Radiografi: Ambil foto Rontgen proyeksi AP dan Lateral (dengan sinar horizontal).
Interpretasi Radiografi: Cari fraktur yang jelas DAN tanda-tanda tidak langsung yang mencurigakan (misalnya, Fraktur Segond, deep sulcus sign).
Titik Keputusan (Hasil Radiografi): Apakah ada fraktur atau tanda kecurigaan tinggi?
Jika Ya: Rujuk ke spesialis ortopedi. CT scan mungkin diperlukan untuk karakterisasi fraktur yang kompleks , atau MRI untuk evaluasi jaringan lunak terkait.
Jika Tidak Ada Fraktur: Lanjutkan ke langkah 8.
Evaluasi Ulang Klinis: Jika tidak ada fraktur tetapi kecurigaan klinis terhadap kelainan internal (instabilitas, mengunci, nyeri persisten) tetap tinggi, maka MRI diindikasikan.
Lakukan MRI: Lakukan pemeriksaan MRI pada lutut.
Interpretasi MRI Sistematis: Evaluasi secara sistematis:
Pola edema sumsum tulang untuk menentukan mekanisme.
Integritas ligamen (ACL, PCL, kolateral).
Morfologi meniskus dan adanya pergeseran.
Kondisi kartilago dan tulang subkondral.
Diagnosis Akhir dan Rencana Tatalaksana: Buat diagnosis komprehensif dan rencanakan tatalaksana definitif.
ACR Appropriateness Criteria® Acute Trauma to the Knee - PubMed, diakses Juli 21, 2025, https://pubmed.ncbi.nlm.nih.gov/32370956/
ACR Appropriateness Criteria Acute Trauma to the Knee - PubMed, diakses Juli 21, 2025, https://pubmed.ncbi.nlm.nih.gov/26541130/
ACR Appropriateness Criteria® Acute Trauma to the Knee | Request PDF - ResearchGate, diakses Juli 21, 2025, https://www.researchgate.net/publication/221806289_ACR_Appropriateness_CriteriaR_Acute_Trauma_to_the_Knee
Acute knee injuries: use of decision rules for selective radiograph ..., diakses Juli 21, 2025, https://pubmed.ncbi.nlm.nih.gov/10605994/
Appropriateness Criteria - American College of Radiology, diakses Juli 21, 2025, https://acsearch.acr.org/list/GetEvidence?TopicId=78&TopicName=Acute%20Trauma%20to%20the%20Knee
(PDF) Investigation of acute knee injury - ResearchGate, diakses Juli 21, 2025, https://www.researchgate.net/publication/225064948_Investigation_of_acute_knee_injury
MR Imaging of Acute Knee Injuries: Systematic Evaluation and ..., diakses Juli 21, 2025, https://pubmed.ncbi.nlm.nih.gov/36739145/
Anterior cruciate ligament tear | Radiology Reference Article | Radiopaedia.org, diakses Juli 21, 2025, https://radiopaedia.org/articles/anterior-cruciate-ligament-tear
Imaging following acute knee trauma - PubMed, diakses Juli 21, 2025, https://pubmed.ncbi.nlm.nih.gov/25278054/
What imaging study for suspected Anterior Cruciate Ligament (ACL) tear?, diakses Juli 21, 2025, https://www.droracle.ai/articles/5905/imaging-study-for-suspected-acl-tear
A Biomechanical Approach to MRI of Acute Knee Injuries | AJR, diakses Juli 21, 2025, https://ajronline.org/doi/10.2214/AJR.11.7026
Bone Contusion Patterns of the Knee at MR Imaging: Footprint of the Mechanism of Injury | RadioGraphics - RSNA Journals, diakses Juli 21, 2025, https://pubs.rsna.org/doi/abs/10.1148/radiographics.20.suppl_1.g00oc19s135
Magnetic Resonance Imaging of Anterior Cruciate Ligament Injury - PMC - PubMed Central, diakses Juli 21, 2025, https://pmc.ncbi.nlm.nih.gov/articles/PMC11463185/
How to Read Knee MRI of ACL Tear | Anterior Cruciate Ligament Pain - YouTube, diakses Juli 21, 2025, https://www.youtube.com/watch?v=gNTpeCdNf8M
MRI Gallery - MRI Knee - ACL tear - Radiology Masterclass -, diakses Juli 21, 2025, https://www.radiologymasterclass.co.uk/gallery/imaging-galleries/mri-gallery/mri-knee-acl-tear
Anterior cruciate ligament partial tear | Radiology Case - Radiopaedia.org, diakses Juli 21, 2025, https://radiopaedia.org/cases/anterior-cruciate-ligament-partial-tear
Meniscal tear | Radiology Reference Article - Radiopaedia.org, diakses Juli 21, 2025, https://radiopaedia.org/articles/meniscal-tear?lang=us
Meniscal pathology - The Radiology Assistant, diakses Juli 21, 2025, https://radiologyassistant.nl/musculoskeletal/knee/meniscal-pathology
How I Diagnose Meniscal Tears on Knee MRI | AJR - American Journal of Roentgenology, diakses Juli 21, 2025, https://ajronline.org/doi/10.2214/AJR.12.8663
Horizontal meniscal tear | Radiology Reference Article | Radiopaedia.org, diakses Juli 21, 2025, https://radiopaedia.org/articles/horizontal-meniscal-tear
Radial meniscal tear | Radiology Reference Article | Radiopaedia.org, diakses Juli 21, 2025, https://radiopaedia.org/articles/radial-meniscal-tear
Complex meniscal tear | Radiology Reference Article - Radiopaedia.org, diakses Juli 21, 2025, https://radiopaedia.org/articles/complex-meniscal-tear