26 Feb 2026 • radiologi
Bagian ini menetapkan pengetahuan fundamental yang diperlukan untuk memahami mengapa hidrokel terbentuk dan bagaimana cara mengklasifikasikannya, dengan menghubungkan secara langsung patofisiologi dengan alasan dilakukannya pencitraan ultrasonografi.
Hidrokel secara definitif merupakan akumulasi abnormal cairan serosa di dalam rongga potensial yang dibentuk oleh lapisan parietal dan viseral tunika vaginalis. Tunika vaginalis adalah suatu kantung berlapis mesotelium yang berasal dari peritoneum abdomen selama penurunan testis pada masa janin dan secara langsung mengelilingi testis serta funikulus spermatikus. Dalam kondisi fisiologis normal, lapisan-lapisan ini mensekresi dan mereabsorpsi sejumlah kecil cairan serosa, yang berfungsi sebagai pelumas.
Mekanisme patofisiologis inti yang mendasari pembentukan hidrokel adalah ketidakseimbangan antara proses sekresi dan reabsorpsi cairan ini. Ketika produksi cairan melebihi kapasitas reabsorpsi, atau ketika drainase limfatik terganggu, cairan akan terakumulasi, yang mengarah pada pembesaran skrotum secara klinis yang dikenal sebagai hidrokel. Pemahaman tentang dinamika cairan ini sangat penting karena menjadi dasar bagi semua jenis hidrokel non-komunikan.=

Klasifikasi hidrokel menjadi dua kategori utama—kongenital dan didapat—sangat penting karena secara langsung memengaruhi pendekatan diagnostik dan strategi penatalaksanaan.
Hidrokel kongenital, yang paling sering ditemui pada neonatus dan bayi, hampir selalu disebabkan oleh kegagalan penutupan prosesus vaginalis (patent processus vaginalis/PPV). Prosesus vaginalis adalah evaginasi peritoneum yang mendahului testis saat turun ke dalam skrotum. Normalnya, saluran ini akan menutup setelah lahir, mengisolasi tunika vaginalis dari rongga peritoneum.
Ketika tetap paten, saluran ini menciptakan komunikasi langsung yang memungkinkan cairan peritoneum mengalir bebas ke dalam kantung skrotum, menyebabkan hidrokel komunikan.
Gambar 1. Hidrokel antenatal, menunjukkan cairan pada scrotal sac dengan testis yang echogenic

Secara sonografis, hidrokel kongenital biasanya tampak sebagai kumpulan cairan anekhoik (hitam) sederhana yang mengelilingi aspek anterolateral testis. Sebagian besar kasus ini akan sembuh secara spontan sebelum usia dua tahun seiring dengan penutupan PPV yang tertunda. Oleh karena itu, penatalaksanaan pada populasi pediatrik sering kali bersifat konservatif dan observasional.
Berbeda dengan hidrokel kongenital, hidrokel didapat (acquired) atau sekunder berkembang sebagai akibat dari kondisi patologis yang mendasari yang mengganggu keseimbangan cairan lokal di dalam tunika vaginalis. Ini bukan masalah komunikasi dengan rongga peritoneum, melainkan masalah produksi cairan yang berlebihan atau reabsorpsi yang terganggu. Penyebab umum hidrokel sekunder meliputi :
Inflamasi: Epididimitis atau epididimo-orkitis dapat menyebabkan respons inflamasi pada tunika vaginalis, meningkatkan permeabilitas kapiler dan produksi cairan.
Trauma: Cedera langsung pada skrotum dapat menyebabkan perdarahan (hematocele) atau respons inflamasi yang memicu akumulasi cairan.
Torsi Testis: Iskemia dan inflamasi akibat torsi dapat menyebabkan hidrokel reaktif.
Tumor: Tumor testis dapat mengganggu drainase limfatik atau vena, atau memicu respons inflamasi, yang menyebabkan hidrokel pada sekitar 10% kasus.
Iatrogenik: Prosedur bedah dapat secara tidak sengaja mengganggu drainase limfatik. Hidrokel adalah komplikasi paling umum setelah varikokelektomi dan juga dapat terjadi setelah transplantasi ginjal akibat diseksi pembuluh darah iliaka dan saluran limfatik di sekitarnya.
Penentuan apakah suatu hidrokel bersifat "komunikan" versus "non-komunikan" atau "primer" versus "sekunder" bukanlah sekadar latihan akademis; ini adalah titik persimpangan diagnostik fundamental yang menentukan penatalaksanaan klinis dan fokus interpretatif pemeriksaan ultrasonografi.
Pada pasien anak dengan pembengkakan skrotum, probabilitas tinggi hidrokel komunikan karena PPV berarti peran USG adalah untuk mengkonfirmasi sifat cairan dari massa tersebut, menilai integritas testis, dan mencari tanda-tanda hernia yang menyertai. Penatalaksanaannya sering kali bersifat observasional. Sebaliknya, pada orang dewasa dengan hidrokel onset baru, terutama yang non-komunikan, probabilitas penyebab sekunder jauh lebih tinggi. Akibatnya, pola pikir radiolog dan dokter umum harus bergeser.
Pemeriksaan USG tidak lagi hanya untuk mengkonfirmasi adanya hidrokel, tetapi menjadi investigasi komprehensif untuk mencari penyebab yang mendasarinya. Kehadiran hidrokel menjadi titik awal, bukan kesimpulan, dari evaluasi diagnostik, dengan kewaspadaan tinggi terhadap kemungkinan adanya inflamasi, trauma, atau, yang paling kritis, keganasan.
Bagian ini merinci metodologi pelaksanaan ultrasonografi skrotum, menekankan bahwa teknik yang terstandarisasi dan teliti tidak dapat ditawar untuk diagnosis yang akurat dan diferensiasi patologi skrotum.
Kualitas pemeriksaan ultrasonografi skrotum sangat bergantung pada persiapan yang tepat dan pemilihan peralatan yang benar.
Transduser: Standar perawatan untuk pencitraan skrotum adalah penggunaan transduser linear array frekuensi tinggi, biasanya dalam rentang 7 hingga 15 MHz. Frekuensi tinggi ini memberikan resolusi spasial yang sangat baik, yang sangat penting untuk visualisasi detail struktur skrotum superfisial, termasuk tunika, epididimis, dan parenkim testis.
Posisi Pasien: Pasien harus diposisikan dalam keadaan telentang (supine). Untuk mengoptimalkan jendela pemindaian dan menstabilkan skrotum, handuk dapat digulung dan diletakkan di antara kedua tungkai untuk menopang skrotum. Posisi "kaki katak" (frog-leg), di mana pinggul dan lutut difleksikan dan dirotasi secara eksternal, sering digunakan. Penis harus disampirkan ke arah superior di atas abdomen untuk mencegahnya mengganggu bidang pandang.
Pemeriksaan yang komprehensif dan dapat diandalkan mengharuskan pendekatan yang sistematis untuk memastikan tidak ada patologi yang terlewat.
Pencitraan Grayscale: Ini adalah fondasi pemeriksaan, yang digunakan untuk menilai anatomi. Setiap hemiskrotum harus dievaluasi secara menyeluruh dalam dua bidang ortogonal: longitudinal dan transversal. Penilaian utama meliputi ukuran, bentuk, dan ekotekstur testis, yang normalnya harus homogen dengan tingkat gema medium (mid-level echogenicity). Mediastinum testis, yang tampak sebagai pita hiperekhoik linier, berfungsi sebagai penanda anatomis yang penting.
Doppler Warna dan Daya: Penggunaan Doppler warna dan daya bukan opsional, melainkan bagian integral dan esensial dari setiap pemeriksaan skrotum. Modalitas ini menilai perfusi dan vaskularitas testis. Aliran darah harus simetris antara kedua testis. Doppler sangat penting untuk membedakan kondisi inflamasi seperti epididimo-orkitis (yang menunjukkan hiperemia atau peningkatan aliran darah) dari torsi testis (yang ditandai dengan tidak adanya aliran darah).
Perbandingan: Perbandingan sisi-ke-sisi kedua testis secara langsung pada gambar yang sama sangat penting untuk mendeteksi asimetri halus dalam ukuran, ekotekstur, atau vaskularitas, yang mungkin merupakan satu-satunya tanda adanya patologi.
Kurangnya protokol yang terstandarisasi secara universal, terutama mengenai penggunaan manuver dinamis, merupakan sumber variabilitas diagnostik yang signifikan dan potensi kesalahan. Hal ini terbukti dari literatur tentang diagnosis varikokel, yang memiliki implikasi langsung pada evaluasi hidrokel.
Penelitian telah menyoroti ketidaksepakatan yang signifikan dan kurangnya standardisasi dalam diagnosis varikokel, khususnya mengenai penggunaan posisi telentang versus berdiri dan manuver Valsalva. USG skrotum saat berdiri dengan manuver Valsalva dapat mengidentifikasi sejumlah besar varikokel yang signifikan secara klinis yang terlewatkan oleh pencitraan saat telentang saja.
Prinsip ini dapat diekstrapolasi secara langsung ke diagnosis banding hidrokel. Salah satu diagnosis banding utama adalah hernia inguinalis. Hernia inguinalis yang berisi omentum atau usus mungkin hanya menjadi jelas atau dapat dikarakterisasi secara definitif selama manuver dinamis seperti Valsalva, yang meningkatkan tekanan intra-abdomen dan memaksa isi hernia masuk ke dalam kantung skrotum.
Oleh karena itu, pemeriksaan USG skrotum "standar" yang mengabaikan manuver dinamis saat mengevaluasi pembengkakan skrotum adalah pemeriksaan yang tidak lengkap dan berisiko salah mendiagnosis hernia sebagai hidrokel sederhana atau kompleks. Ini mengangkat diskusi dari sekadar daftar teknik menjadi komentar kritis tentang praktik terbaik, dan menekankan bahwa jika hernia ada dalam diagnosis banding, pencitraan dinamis sangat penting untuk diagnosis yang akurat.
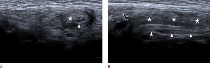
Gambar 2. USG pasien dengan Hernia inguinalis. Tampak hernial sac yang didalamnya berisi peritoneal fat dan usus

Bagian ini memberikan pengetahuan visual dan interpretatif inti, mengajarkan dokter umum apa yang harus dicari pada laporan dan gambar ultrasonografi.
Hidrokel sederhana memiliki penampilan sonografi yang khas dan mudah dikenali. Ia tampak sebagai kumpulan cairan yang sepenuhnya anekhoik (hitam pekat) yang mengelilingi aspek anterolateral testis. Cairan ini terkurung di antara lapisan viseral dan parietal tunika vaginalis. Karena akumulasi cairan biasanya terjadi di bagian anterior, testis sering kali terdorong ke arah posterior di dalam kantung skrotum. Tidak ada gema internal, septasi, atau debris yang terlihat di dalam cairan.
Istilah hidrokel kompleks bukanlah diagnosis akhir, melainkan istilah deskriptif yang menunjukkan adanya material di dalam cairan hidrokel. Adanya kompleksitas ini menandakan bahwa proses yang terjadi lebih dari sekadar akumulasi cairan serosa sederhana dan memerlukan penyelidikan lebih lanjut untuk menentukan etiologinya.
Gema Internal/Debris: Gema internal dengan tingkat rendah dapat terlihat melayang di dalam cairan. Gema ini bisa bergerak saat diberi tekanan dengan transduser ("jiggle") atau menunjukkan fenomena "salju jatuh" (falling snow sign). Penyebab gema ini bervariasi dan dapat berupa kandungan protein yang tinggi, kristal kolesterol (terutama pada hidrokel kronis), nanah (pus), atau darah.
Septasi/Lokulasi: Untaian hiperekhoik (terang) yang tipis atau tebal, yang dikenal sebagai septa, dapat melintasi kumpulan cairan, membaginya menjadi beberapa kompartemen (lokulasi). Adanya septasi sering kali dikaitkan dengan proses inflamasi atau perdarahan sebelumnya (seperti infeksi atau trauma), di mana untaian fibrin mengorganisir cairan.
Kalsifikasi: Kalsifikasi pada kantung hidrokel, yang terkadang digambarkan sebagai "kalsifikasi cangkang telur" (eggshell calcification), adalah temuan yang jarang terjadi. Ini biasanya menunjukkan iritasi kronis atau infeksi kronis yang sudah berlangsung lama, seperti yang terlihat pada filariasis atau schistosomiasis.
Dua subtipe penting dari hidrokel kompleks adalah piosel dan hematosel, yang masing-masing menunjukkan adanya infeksi dan perdarahan.
Piosel: Ini adalah kumpulan cairan purulen (nanah) di dalam tunika vaginalis. Piosel merupakan komplikasi dari infeksi yang tidak tertangani, seperti epididimo-orkitis berat atau abses testis yang pecah ke dalam rongga tunika. Secara sonografis, piosel tampak sebagai kumpulan cairan yang sangat kompleks dan heterogen, sering kali dengan septasi yang tebal dan tidak teratur, debris yang padat, dan terkadang adanya gas (yang tampak sebagai fokus hiperekhoik dengan bayangan akustik di belakangnya). Dinding tunika vaginalis juga bisa tampak menebal dan hiperemik pada pemeriksaan Doppler.
Hematosel: Ini adalah kumpulan darah di dalam tunika vaginalis, yang paling sering disebabkan oleh trauma, pembedahan, atau tumor. Penampilan sonografinya sangat bervariasi tergantung pada usia perdarahan. Hematosel akut mungkin tampak hiperekhoik secara difus karena adanya bekuan darah segar. Seiring waktu, bekuan darah tersebut mengalami lisis dan retraksi, sehingga hematosel menjadi lebih kompleks, dengan munculnya septasi, lokulasi, dan tingkat cairan-debris (fluid-debris levels).
Kompleksitas sonografi suatu hidrokel adalah representasi visual langsung dari aktivitas biologis dan kronisitas yang mendasarinya. Morfologi gema dan septa memberikan petunjuk penting mengenai etiologinya. Hidrokel sederhana yang anekhoik mewakili akumulasi cairan serosa yang relatif stabil dan kronis.
Ketika terjadi inflamasi (misalnya, epididimitis), kapiler menjadi bocor, melepaskan protein dan fibrin ke dalam cairan hidrokel, yang secara sonografis diterjemahkan menjadi gema internal tingkat rendah dan septasi tipis seperti benang. Jika inflamasi berlanjut menjadi infeksi berat (piosel), cairan menjadi nanah, yang secara sonografis padat, penuh dengan debris (leukosit, jaringan nekrotik), dan dapat membentuk septa yang tebal dan terorganisir atau bahkan abses berdinding.
Jika terjadi trauma (hematosel), darah mengisi ruang tersebut. Darah segar bisa tampak ekogenik, tetapi saat membeku dan ditarik kembali, ia membentuk gambaran yang sangat kompleks, bersepta, dan berlokulasi. Jika hidrokel sudah berlangsung sangat lama, kolesterol dapat mengendap, membentuk kristal hiperekhoik yang terang di dalam cairan.
Pemahaman ini memungkinkan dokter umum untuk melampaui sekadar membaca "hidrokel kompleks" pada laporan. Dengan memahami bahwa bentuk mengikuti fungsi, mereka dapat melihat jenis kompleksitas yang dijelaskan dan menghubungkannya dengan riwayat klinis untuk membangun diagnosis banding yang jauh lebih kuat.
Bagian ini sangat penting bagi audiens target. Ini memberikan perbandingan langsung antara hidrokel dengan kondisi-kondisi yang paling sering menyerupainya, dengan fokus pada fitur-fitur pembeda utama pada ultrasonografi.
Meskipun sama-sama berupa lesi kistik, lokasi adalah kunci utama untuk membedakan antara hidrokel dan kista epididimis/spermatokel.
Lokasi adalah Kunci: Spermatokel adalah kista retensi yang berisi sperma dan hampir selalu terletak di kepala epididimis. Kista epididimis, yang berisi cairan serosa, dapat timbul di mana saja di sepanjang epididimis (kepala, badan, atau ekor). Sebaliknya, hidrokel adalah kumpulan cairan di dalam ruang tunika vaginalis, yang secara khas mengelilingi testis. Kista epididimis yang besar dapat menekan dan mendesak testis, sedangkan hidrokel akan menyelubungi testis.
Isi Kista: Meskipun sering kali tidak dapat dibedakan, spermatokel lebih mungkin mengandung gema internal tingkat rendah karena adanya cairan proteinaseus dan spermatozoa, sedangkan kista epididimis sederhana biasanya murni anekhoik. Tanda "salju jatuh" (falling snow sign) pada pencitraan Doppler, yang disebabkan oleh gerakan sperma, dapat terlihat pada spermatokel dan sangat sugestif.
Perubahan Pasca-Vasektomi: Terdapat insiden yang lebih tinggi dari spermatokel, epididimis yang menebal, dan ektasia tubular epididimis pada pasien pasca-vasektomi karena obstruksi duktus. Riwayat vasektomi secara signifikan meningkatkan kemungkinan adanya spermatokel.
Salah satu diagnosis banding yang paling penting untuk pembengkakan skrotum adalah hernia inguinalis yang meluas ke dalam skrotum (hernia inguinoskrotalis).
Mengidentifikasi Isi Hernia: Fitur definitif dari hernia adalah adanya isi intra-abdomen di dalam kantung skrotum. Ini bisa berupa omentum (yang tampak sebagai lemak hiperekhoik), atau lengkung usus (yang memiliki penampilan berlapis yang khas).
Pencitraan Dinamis Sangat Penting: Tanda yang paling dapat diandalkan adalah visualisasi peristaltik secara real-time di dalam lengkung usus yang mengalami herniasi. Manuver Valsalva atau batuk dapat digunakan untuk memprovokasi hernia, menunjukkan pergerakan isi melalui kanalis inguinalis dan peningkatan ukuran kantung hernia.
Komplikasi: Ultrasonografi juga dapat mengidentifikasi tanda-tanda inkarserasi (hernia yang terjepit dan tidak dapat direduksi), seperti tidak dapat direduksinya isi hernia dengan tekanan lembut, adanya cairan bebas di dalam kantung hernia, dan penebalan dinding usus.
Varikokel adalah dilatasi abnormal dari pleksus vena pampiniformis.
Penampilan: Varikokel tampak sebagai beberapa struktur tubular yang berkelok-kelok (serpentine), anekhoik, dan melebar, biasanya dengan diameter lebih dari 2-3 mm. Struktur ini terletak di dalam pleksus pampiniformis, yang biasanya berada di posterior testis.
Doppler dan Manuver Dinamis: Doppler warna sangat diagnostik, yang akan mengkonfirmasi adanya aliran vena di dalam struktur tubular tersebut. Temuan kunci adalah adanya aliran balik (retrograde flow) selama manuver Valsalva. Pemeriksaan ini paling sensitif ketika pasien dalam posisi
berdiri, karena posisi ini meningkatkan tekanan vena dan melebarkan vena secara maksimal.
Tabel berikut merangkum fitur-fitur pembeda utama untuk membantu dalam diagnosis klinis.
Patologi | Lokasi | Gambaran Grayscale | Temuan Kunci Doppler/Dinamis | Catatan Klinis |
Hidrokel Sederhana | Mengelilingi testis anterolateral (tunika vaginalis) | Kumpulan cairan anekhoik | Cairan avaskular | Penyebab paling umum pembengkakan skrotum tanpa nyeri. |
Hidrokel Kompleks | Mengelilingi testis anterolateral (tunika vaginalis) | Cairan dengan gema internal, septasi, lokulasi | Cairan avaskular; dinding bisa hiperemik jika ada inflamasi | Bukan diagnosis; tanda patologi yang mendasari (trauma, infeksi, tumor). |
Spermatokel | Kepala Epididimis (hampir selalu) | Kista anekhoik atau hipoekhoik yang terdefinisi dengan baik; mungkin memiliki gema tingkat rendah | Avaskular; mungkin menunjukkan tanda "salju jatuh" | Umum terjadi pasca-vasektomi. |
Hernia Inguinalis | Memanjang dari kanalis inguinalis ke dalam skrotum | Berisi lemak ekogenik (omentum) atau lengkung usus | Peristaltik usus; menonjol saat manuver Valsalva | Pencitraan dinamis adalah kunci diagnosis. |
Varikokel | Pleksus pampiniformis (biasanya posterior dari testis) | Beberapa struktur tubular melebar (>2.5-3mm) | Aliran vena; aliran balik saat manuver Valsalva, paling baik terlihat saat berdiri | Penyebab umum infertilitas; varikokel kanan terisolasi adalah tanda bahaya. |
Tumor Testis | Intratestikular | Massa padat hipoekhoik (paling umum); bisa juga kistik kompleks | Vaskularitas internal pada Doppler warna | Dapat disertai hidrokel reaktif; harus memeriksa testis dengan teliti. |
Bagian ini membahas perangkap diagnostik paling kritis bagi seorang dokter umum: melewatkan tumor testis yang muncul dengan hidrokel reaktif.
Kehadiran hidrokel dapat menjadi penanda adanya patologi intratestikular yang serius. Hidrokel ditemukan pada sekitar 10% pasien dengan tumor testis, yang berfungsi sebagai respons reaktif terhadap keganasan yang mendasarinya. Sebuah laporan kasus yang sangat penting menyoroti seorang pria muda yang "hidrokel kompleks"-nya dengan septasi tebal dan tidak teratur pada USG, ternyata secara intraoperatif adalah tumor sel germinal campuran multikistik.
Kasus ini menetapkan poin pembelajaran inti: temuan hidrokel kompleks harus memicu evaluasi yang sangat teliti terhadap testis yang mendasarinya dan merupakan alasan untuk kecurigaan tinggi, terutama pada pria muda. Hidrokel tidak boleh dianggap sebagai diagnosis akhir sampai testis itu sendiri telah dipastikan normal.
Saat mengevaluasi pasien dengan hidrokel, perhatian harus dialihkan dari cairan itu sendiri ke parenkim testis untuk mencari tanda-tanda keganasan.
Tanda utama adalah adanya massa intratestikular. Massa ini paling sering berupa lesi padat dan hipoekhoik (lebih gelap dari jaringan testis di sekitarnya), tetapi juga bisa tampak kompleks atau kistik. Setiap lesi fokal yang berbeda dari parenkim testis normal harus dianggap mencurigakan.
Adanya vaskularitas internal di dalam massa testis pada pemeriksaan Doppler warna sangat sugestif terhadap keganasan. Jaringan tumor yang aktif tumbuh akan merekrut suplai darahnya sendiri, yang dapat divisualisasikan dengan Doppler.
Dalam konteks hidrokel, setiap penebalan atau nodularitas pada tunika, atau septasi yang sangat tidak teratur dan tebal di dalam hidrokel itu sendiri, harus meningkatkan kecurigaan, karena ini bisa mewakili invasi tumor atau respons desmoplastik yang parah.
Meskipun jarang, ada keganasan dan kondisi jinak lain yang dapat timbul dari struktur paratestikular dan meniru hidrokel.
Mesotelioma Ganas Tunika Vaginalis (MTVT): Ini adalah tumor langka namun sangat agresif yang timbul dari lapisan mesotelial tunika vaginalis. Secara klinis, sering kali muncul sebagai hidrokel atau massa skrotum yang tidak dapat dijelaskan. Secara sonografis, MTVT dapat tampak sebagai beberapa massa atau nodul hiperekhoik pada permukaan tunika vaginalis, yang sering disertai dengan hidrokel.
Limfangioma Kistik: Ini adalah tumor jinak langka yang berasal dari saluran limfatik. Tumor ini dapat meniru hidrokel kompleks yang bersepta atau spermatokel. Pada USG, ia tampak sebagai lesi multikistik yang bersepta yang dapat melibatkan dinding skrotum, tunika, atau funikulus spermatikus. Eksisi lengkap diperlukan untuk mencegah kekambuhan.
Kehadiran hidrokel dapat secara aktif menghambat evaluasi klinis dan sonografi terhadap testis yang mendasarinya, menciptakan kesalahan "kepuasan pencarian" (satisfaction of search) yang berbahaya. Hidrokel yang besar dan tegang membuat palpasi fisik testis menjadi sulit atau tidak mungkin bagi dokter umum, yang sering kali menjadi alasan utama untuk memesan USG.
Secara sonografis, volume cairan yang besar dapat menciptakan artefak pencitraan dan mungkin memerlukan penyesuaian teknis untuk dapat memvisualisasikan testis yang terdorong ke posterior secara memadai. Radiolog atau sonografer mungkin akan fokus pada karakterisasi kumpulan cairan yang mengesankan dan secara tidak sengaja menghabiskan lebih sedikit waktu untuk memindai testis itu sendiri dengan cermat.
Ini adalah bias kognitif klasik: temuan yang jelas (hidrokel) diidentifikasi, dan pencarian patologi kedua yang lebih halus (tumor) dihentikan sebelum waktunya. Kasus "hidrokel kompleks" yang salah didiagnosis adalah contoh sempurna dari jebakan ini. Oleh karena itu, saat meninjau laporan USG untuk hidrokel, sangat penting untuk secara spesifik mencari pernyataan definitif tentang parenkim testis.
Frasa seperti "Testis yang mendasarinya normal dalam ukuran dan ekotekstur tanpa lesi fokal atau vaskularitas abnormal" sangat penting. Jika testis digambarkan sebagai "tidak dapat divisualisasikan secara memadai" atau tidak disebutkan secara rinci, ini adalah tanda bahaya yang memerlukan diskusi lebih lanjut dengan radiolog atau rujukan ke ahli urologi.
Bagian ini memperluas pemahaman dokter umum dengan mencakup varian dan etiologi hidrokel yang kurang umum namun penting.
Hidrokel abdominoskrotal (ASH) adalah entitas klinis yang langka di mana hidrokel skrotum yang besar berkomunikasi dengan komponen abdomen atau retroperitoneum melalui kanalis inguinalis.
Penampilan khas pada pencitraan (USG, CT, atau MRI) adalah bentuk "jam pasir" (hourglass) atau "barbel" (dumbbell), yang menunjukkan penyempitan pada tingkat kanalis inguinalis yang menghubungkan dua kantung cairan besar.
Diagnosis klinis didasarkan pada penemuan dua pembengkakan yang terhubung (abdomen dan skrotum) yang menunjukkan fluktuasi silang (cross-fluctuation). USG mengkonfirmasi sifat kistik dari massa dan adanya komunikasi melalui kanalis inguinalis. Penatalaksanaan bedah dianggap wajib karena resolusi spontan sangat jarang terjadi.
Hidrokel dapat menjadi komplikasi dari intervensi bedah sebelumnya.
Pasca-Varikokelektomi: Ini adalah komplikasi paling umum dari perbaikan varikokel, dengan insiden dilaporkan antara 3% hingga 33%. Ini disebabkan oleh gangguan iatrogenik pada saluran limfatik funikulus spermatikus, yang menyebabkan gangguan penyerapan cairan dari tunika vaginalis. Hidrokel yang dihasilkan bisa bersepta karena kandungan protein yang tinggi dari cairan limfatik.
Pasca-Transplantasi Ginjal: Hidrokel adalah komplikasi yang diketahui setelah transplantasi ginjal, juga disebabkan oleh gangguan saluran limfatik di sepanjang pembuluh darah iliaka selama pembedahan.
Etiologi dan penatalaksanaan hidrokel dapat bervariasi secara signifikan tergantung pada populasi pasien.
Hidrokel Pediatrik: Hampir selalu bersifat kongenital dan komunikan karena adanya PPV. USG digunakan untuk mengkonfirmasi diagnosis dan menyingkirkan hernia terkait. Sebagian besar akan sembuh secara spontan, tetapi hidrokel yang persisten atau besar mungkin memerlukan pembedahan.
Hidrokel Filaria: Disebabkan oleh infeksi parasit Wuchereria bancrofti dan endemik di daerah tropis. USG dapat menunjukkan saluran limfatik skrotum yang melebar. Tanda "tarian filaria" (filarial dance sign), yang merupakan gerakan cacing hidup, telah dijelaskan tetapi masih diperdebatkan, karena penampilan serupa ("megasperm") dapat dilihat pada obstruksi epididimis non-filaria. Riwayat perjalanan ke daerah endemik sangat penting untuk diagnosis.
Meskipun jarang, hidrokel dapat mengalami komplikasi dramatis.
Ruptur: Kejadian yang sangat langka, yang bisa bersifat spontan atau akibat trauma. Ini ditandai dengan hilangnya pembengkakan skrotum secara tiba-tiba dan timbulnya edema serta ekimosis pada skrotum dan penis. USG akan mengkonfirmasi penurunan volume cairan dan mungkin menunjukkan kontur kantung yang tidak teratur atau hematosel terkait.
Kalsifikasi: Seperti yang disebutkan sebelumnya, kalsifikasi "cangkang telur" pada kantung hidrokel jarang terjadi dan dikaitkan dengan inflamasi atau iritasi kronis.
Riwayat pasien bukanlah sekadar informasi latar belakang; ini adalah filter diagnostik yang kuat yang secara fundamental mengubah probabilitas pra-tes dari berbagai etiologi hidrokel dan kondisi yang menyerupainya. Pertimbangkan seorang pasien yang datang dengan hidrokel. Tanpa riwayat, diagnosis bandingnya luas.
Sekarang, terapkan riwayat sebagai filter. Apakah pasiennya berusia 1 tahun? Diagnosisnya hampir pasti hidrokel komunikan. Apakah pasiennya berusia 35 tahun dan menjalani varikokelektomi 2 tahun yang lalu? Hidrokel pasca-varikokelektomi sekarang menjadi diagnosis utama. Apakah pasiennya adalah penerima transplantasi ginjal berusia 60 tahun? Hidrokel iatrogenik akibat gangguan limfatik sangat mungkin terjadi.
Apakah pasiennya berusia 25 tahun dan menjalani vasektomi? Massa kistik lebih mungkin berupa spermatokel daripada hidrokel. Ini menunjukkan bahwa interpretasi USG tidak terjadi dalam ruang hampa. Gambaran sonografi yang sama dari kumpulan cairan sederhana dapat mengarah pada kesimpulan klinis yang sangat berbeda berdasarkan riwayat pasien.
Ini memberdayakan dokter umum untuk memberikan riwayat klinis yang relevan kepada radiolog, yang mengarah pada laporan yang lebih akurat dan kontekstual, dan untuk menginterpretasikan laporan yang mereka terima dengan lebih baik.
Bagian akhir ini mensintesis temuan laporan menjadi kerangka kerja praktis bagi dokter umum, menjembatani kesenjangan antara interpretasi pencitraan dan pengambilan keputusan klinis.
Diagnosis yang akurat dari pembengkakan skrotum bergantung pada sinergi antara tiga pilar: pemeriksaan klinis, riwayat pasien, dan temuan ultrasonografi. Pemeriksaan fisik, termasuk transiluminasi, dapat memberikan kesan awal, tetapi seringkali tidak spesifik. Riwayat pasien (usia, riwayat bedah, perjalanan, trauma) secara dramatis mempersempit diagnosis banding.
Namun, ultrasonografi tetap menjadi modalitas pencitraan definitif. Perannya tidak hanya untuk mengkonfirmasi adanya kumpulan cairan, tetapi yang lebih penting, untuk mengevaluasi secara komprehensif struktur testis dan paratestikular yang mendasarinya, menyingkirkan patologi yang lebih serius.
Keputusan untuk merujuk harus didasarkan pada temuan klinis dan sonografi.
Rujukan Rutin ke Urologi:
Hidrokel onset baru pada orang dewasa.
Hidrokel simtomatik (menyebabkan nyeri atau ketidaknyamanan).
Hidrokel yang berukuran besar dan mengganggu aktivitas sehari-hari.
Rujukan Mendesak ke Urologi atau Unit Gawat Darurat:
Setiap temuan sonografi yang mencurigakan adanya keganasan (misalnya, massa intratestikular, hidrokel kompleks yang atipikal).
Tanda-tanda klinis atau sonografi torsi testis (aliran darah tidak ada) atau hernia inkarserata.
Temuan piosel atau hematosel yang signifikan, yang mungkin memerlukan drainase bedah.
Konsultasi dengan Radiologi:
Ketika laporan USG tidak jelas atau ambigu.
Ketika testis tidak dapat divisualisasikan dengan baik (misalnya, karena hidrokel yang sangat besar atau artefak).
Ketika temuan sonografi tidak sesuai dengan gambaran klinis.
Penatalaksanaan hidrokel bervariasi dari observasi hingga intervensi bedah.
Observasi Konservatif: Pendekatan ini sesuai untuk hidrokel sederhana yang asimtomatik pada orang dewasa dan sebagian besar hidrokel komunikan pada anak-anak, karena banyak yang akan sembuh secara spontan.
Aspirasi: Dapat digunakan untuk tujuan diagnostik dan untuk memberikan kelegaan sementara dari gejala. Namun, tingkat kekambuhan setelah aspirasi saja sangat tinggi. Aspirasi yang diikuti dengan skleroterapi (injeksi agen sklerosan untuk membuat dinding kantung menempel) adalah pilihan lain untuk pasien yang ingin menghindari pembedahan.
Intervensi Bedah (Hidrokelektomi): Ini adalah pengobatan definitif untuk hidrokel yang simtomatik, persisten, atau berukuran besar. Pembedahan adalah wajib untuk kasus-kasus di mana keganasan tidak dapat disingkirkan dengan pasti.
Peran utama USG skrotum dalam konteks hidrokel adalah untuk stratifikasi risiko. Pemeriksaan ini berfungsi untuk mengkategorikan pasien ke dalam tiga jalur penatalaksanaan yang berbeda: (1) "Jinak dan tidak perlu diintervensi," (2) "Jinak tetapi simtomatik, memerlukan pengobatan elektif," dan (3) "Potensi ganas atau darurat, memerlukan intervensi spesialis segera."
Seorang dokter umum dihadapkan pada pasien dengan pembengkakan skrotum. Pertanyaan klinis inti adalah, "Apakah ini berbahaya?" USG bertindak sebagai alat utama untuk menjawab pertanyaan ini.
Jalur 1 (Observasi): USG menunjukkan hidrokel sederhana yang anekhoik dengan testis yang mendasarinya sepenuhnya normal pada pasien asimtomatik. Atau, ia menunjukkan hidrokel komunikan klasik pada bayi. Risikonya minimal. Penatalaksanaannya adalah observasi.
Jalur 2 (Pengobatan Elektif): USG menunjukkan hidrokel sederhana yang besar yang menyebabkan ketidaknyamanan pada pasien, atau spermatokel atau varikokel yang terkonfirmasi. Patologinya jinak, tetapi gejalanya memerlukan rujukan elektif ke ahli urologi untuk mempertimbangkan hidrokelektomi atau prosedur lain.
Jalur 3 (Intervensi Mendesak): USG menunjukkan tanda bahaya: massa padat intratestikular, hidrokel yang sangat kompleks dengan fitur mencurigakan, tidak adanya aliran darah testis (torsi), atau tanda-tanda hernia inkarserata atau piosel. Risikonya tinggi. Ini memerlukan rujukan segera ke ahli urologi atau unit gawat darurat.
Model mental tiga tingkat ini mengubah temuan sonografi yang beragam yang dibahas di seluruh laporan ini menjadi sistem triase klinis yang sederhana dan dapat ditindaklanjuti, yang merupakan tujuan akhir dari panduan diagnostik praktis ini.
A Review of Classification, Diagnosis, and Management of Hydrocele, diakses Juli 25, 2025, https://pubmed.ncbi.nlm.nih.gov/38010662/
Classifying Hydroceles of the Pelvis and Groin: An Overview of Etiology, Secondary Complications, Evaluation, and Management, diakses Juli 25, 2025, https://pmc.ncbi.nlm.nih.gov/articles/PMC5436019/
Common and Uncommon Presentation of Fluid within the Scrotal Spaces - PMC, diakses Juli 25, 2025, https://pmc.ncbi.nlm.nih.gov/articles/PMC5023204/
(PDF) Hydrocele in Pediatric Population - ResearchGate, diakses Juli 25, 2025, https://www.researchgate.net/publication/343544275_Hydrocele_in_Pediatric_Population
Pediatric Hydrocele: A Comprehensive Review - Clinics in Surgery, diakses Juli 25, 2025, https://www.clinicsinsurgery.com/open-access/pediatric-hydrocele-a-comprehensive-review-2888.pdf
Scrotal Migration of the Ventriculoperitoneal Shunt in a 1-Year-Old Pediatric Patient: A Case Report and Systematic Literature Review - MDPI, diakses Juli 25, 2025, https://www.mdpi.com/2077-0383/14/15/5183
Global prevalence of hydrocele in infants and children: a systematic review and meta-analysis - PMC, diakses Juli 25, 2025, https://pmc.ncbi.nlm.nih.gov/articles/PMC11846172/
Role of Ultrasound in diagnosis of superficial structures, diakses Juli 25, 2025, https://londonsono.com/critical-evaluation-of-the-role-of-the-ultrasound-in-the-diagnosis-of-the-superficial-structures-problems/
Small Parts - Testicular Ultrasound | Sonoguide - ACEP, diakses Juli 25, 2025, https://www.acep.org/sonoguide/advanced/testicular
Scrotal Ultrasound | Radiology Key, diakses Juli 25, 2025, https://radiologykey.com/scrotal-ultrasound-2/
Immediate development of post-varicocelectomy hydrocele: a case report and review of the literature - PubMed Central, diakses Juli 25, 2025, https://pmc.ncbi.nlm.nih.gov/articles/PMC3943282/
Immediate development of post-varicocelectomy hydrocele: a case report and review of the literature | springermedizin.de, diakses Juli 25, 2025, https://www.springermedizin.de/immediate-development-of-post-varicocelectomy-hydrocele-a-case-r/9651278
Be cautious of "complex hydrocele" on ultrasound in young men, diakses Juli 25, 2025, https://pubmed.ncbi.nlm.nih.gov/32255327/
Scrotal Ultrasound Mastery - Number Analytics, diakses Juli 25, 2025, https://www.numberanalytics.com/blog/scrotal-ultrasound-ultimate-guide
Testicular Ultrasound, diakses Juli 25, 2025, https://www.iuslondon.co.uk/blog/mens-health/testicular-ultrasound/
Mastering Scrotal Ultrasound Techniques - Number Analytics, diakses Juli 25, 2025, https://www.numberanalytics.com/blog/mastering-scrotal-ultrasound-techniques
Sonological Evaluation of Scrotal Pathology by High Resolution Ultrasound and Color Doppler - International Journal of Medical Research and Review, diakses Juli 25, 2025, https://ijmrr.medresearch.in/index.php/ijmrr/article/download/191/369/
Ultrasound imaging of the scrotum | British Journal of Hospital Medicine, diakses Juli 25, 2025, https://www.magonlinelibrary.com/doi/10.12968/hmed.2008.69.Sup2.28366
Ultrasound For The Win! Case - 64M with Fever and Scrotal Pain #US4TW, diakses Juli 25, 2025, https://www.aliem.com/ultrasound-for-the-win-case-fever-scrotal-pain-us4tw/
Testicular ultrasound: an emergency medicine perspective - PMC, diakses Juli 25, 2025, https://pmc.ncbi.nlm.nih.gov/articles/PMC12130081/
(PDF) Ultrasound evaluation of Scrotal pathology - ResearchGate, diakses Juli 25, 2025, https://www.researchgate.net/publication/278028815_Ultrasound_evaluation_of_Scrotal_pathology
US in the assessment of acute scrotum - PMC - PubMed Central, diakses Juli 25, 2025, https://pmc.ncbi.nlm.nih.gov/articles/PMC3711727/
Gamut of Extratesticular Scrotal Masses: Anatomic Approach to Sonographic Differential Diagnosis | RadioGraphics - RSNA Journals, diakses Juli 25, 2025, https://pubs.rsna.org/doi/full/10.1148/rg.220113
Standing Ultrasound Adds Clinical Utility for the Diagnosis of ..., diakses Juli 25, 2025, https://pubmed.ncbi.nlm.nih.gov/34032502/
Standardization and documentation of varicocele evaluation - PubMed, diakses Juli 25, 2025, https://pubmed.ncbi.nlm.nih.gov/21926627/
The use of scrotal ultrasound in the evaluation of varicoceles: A survey study of reproductive specialists - PubMed, diakses Juli 25, 2025, https://pubmed.ncbi.nlm.nih.gov/32209215/
Ultrasound imaging for inguinal hernia: a pictorial review - PubMed, diakses Juli 25, 2025, https://pubmed.ncbi.nlm.nih.gov/35569836/
Role of Grayscale and Color Doppler Ultrasonography in Evaluation of Scrotal Pathologies, diakses Juli 25, 2025, https://www.jmgumst.com/abstractArticleContentBrowse/JMGUMST/22929/JPJ/fullText
Abdominal Wall Hernias Cross-Sectional Imaging Signs of Incarceration Determined with Sonography | AJR - American Journal of Roentgenology, diakses Juli 25, 2025, https://ajronline.org/doi/10.2214/ajr.177.5.1771061
COMPLEX HYDROCELE - Looking Through a Transducer, diakses Juli 25, 2025, https://kriznanultrasoundimages.com/2013/08/18/complex-hydrocele/
Diagnostic Ultrasound for Sonographers 0323625169, 9780323625166 - DOKUMEN.PUB, diakses Juli 25, 2025, https://dokumen.pub/diagnostic-ultrasound-for-sonographers-0323625169-9780323625166.html
Hydrocele | Looking Through a Transducer, diakses Juli 25, 2025, https://kriznanultrasoundimages.com/tag/hydrocele/
Cystic lesions and scrotal fluid collections in adults: Ultrasound findings - ResearchGate, diakses Juli 25, 2025, https://www.researchgate.net/publication/235441818_Cystic_lesions_and_scrotal_fluid_collections_in_adults_Ultrasound_findings
Eggshell calcified hydrocele sac: a case report - PMC, diakses Juli 25, 2025, https://pmc.ncbi.nlm.nih.gov/articles/PMC10426159/
Post-traumatic Ruptured Scrotal Collection: Pyocele or Hematocele?, diakses Juli 25, 2025, https://pubmed.ncbi.nlm.nih.gov/37842434/
Scrotal pyocele | Radiology Reference Article | Radiopaedia.org, diakses Juli 25, 2025, https://radiopaedia.org/articles/scrotal-pyocele-1
Benign and Malignant Testicular Lesions - Radiology Key, diakses Juli 25, 2025, https://radiologykey.com/benign-and-malignant-testicular-lesions/
Male Genital System - PMC - PubMed Central, diakses Juli 25, 2025, https://pmc.ncbi.nlm.nih.gov/articles/PMC7271154/
Fig. 56: Hematocele - EPOS™, diakses Juli 25, 2025, https://epos.myesr.org/posterimage/esr/ecr2014/119595/mediagallery/532148?deliveroriginal=1
Spontaneous, atraumatic hydrocele rupture: A case report - PMC, diakses Juli 25, 2025, https://pmc.ncbi.nlm.nih.gov/articles/PMC9576553/
Epididymal cyst | Radiology Reference Article - Radiopaedia.org, diakses Juli 25, 2025, https://radiopaedia.org/articles/epididymal-cyst
Spermatocele | Radiology Reference Article - Radiopaedia.org, diakses Juli 25, 2025, https://radiopaedia.org/articles/spermatocele-1
Vasectomy-related changes on sonographic examination of the scrotum - ResearchGate, diakses Juli 25, 2025, https://www.researchgate.net/publication/8343364_Vasectomy-related_changes_on_sonographic_examination_of_the_scrotum
Associations of Ultrasonographic Features with Scrotal Pain after Vasectomy - PMC, diakses Juli 25, 2025, https://pmc.ncbi.nlm.nih.gov/articles/PMC3242993/
Prenatal ultrasound diagnosis of a fetal inguinal hernia containing small bowel - PubMed, diakses Juli 25, 2025, https://pubmed.ncbi.nlm.nih.gov/1923222/
Point-of-Care Ultrasound in the Diagnosis of an Incarcerated Inguinal Hernia - PubMed, diakses Juli 25, 2025, https://pubmed.ncbi.nlm.nih.gov/34377614/
Scrotal ultrasound in the infertile man: detection of subclinical unilateral and bilateral varicoceles - PubMed, diakses Juli 25, 2025, https://pubmed.ncbi.nlm.nih.gov/3514958/
Mesothelioma of the Tunica Vaginalis Testis: Diagnostic and Therapeutic Management. A Comprehensive Review, 1982–2024 - PMC, diakses Juli 25, 2025, https://pmc.ncbi.nlm.nih.gov/articles/PMC11639812/
Malignant mesothelioma of the tunica vaginalis testis: a rare case and review of literature, diakses Juli 25, 2025, https://pmc.ncbi.nlm.nih.gov/articles/PMC7045691/
A rare malignant mesothelioma of the tunica vaginalis testis: A case report - PMC, diakses Juli 25, 2025, https://pmc.ncbi.nlm.nih.gov/articles/PMC10918515/
Mesothelioma of the tunica vaginalis testis with prominent adenomatoid features: a case report - PMC, diakses Juli 25, 2025, https://pmc.ncbi.nlm.nih.gov/articles/PMC4230092/
Rare case cystic scrotal lymphangioma presented as a hydrocele - PMC, diakses Juli 25, 2025, https://pmc.ncbi.nlm.nih.gov/articles/PMC8971620/
Cystic lymphangioma of the inguinal and scrotal regions in childhood - report of three cases, diakses Juli 25, 2025, https://pmc.ncbi.nlm.nih.gov/articles/PMC4103054/
Management of Abdomino-scrotal hydrocele (ASH)/Scrotal-inguino-retroperitoneal (SIR) hydrocele in a renal transplant patient | Journal of Surgical Case Reports | Oxford Academic, diakses Juli 25, 2025, https://academic.oup.com/jscr/article/2017/10/rjx203/4557840
Giant unilateral hydrocele “en-bisac” with right hydronephrosis in an adult: A rare entity, diakses Juli 25, 2025, https://pmc.ncbi.nlm.nih.gov/articles/PMC3114579/
A giant heterogeneous abdominoscrotal mass: haemorrhagic hydrocele - PubMed Central, diakses Juli 25, 2025, https://pmc.ncbi.nlm.nih.gov/articles/PMC3303314/
Abdominoscrotal Hydrocele With Intra-abdominal Undescended Testis in an Elderly: A Case Report - PMC, diakses Juli 25, 2025, https://pmc.ncbi.nlm.nih.gov/articles/PMC8592306/
Abdominoscrotal hydrocele in an infant boy - PMC, diakses Juli 25, 2025, https://pmc.ncbi.nlm.nih.gov/articles/PMC5614248/
Giant unilateral hydrocele "en-bisac" with right hydronephrosis in an adult: A rare entity, diakses Juli 25, 2025, https://pubmed.ncbi.nlm.nih.gov/21716881/
(PDF) Immediate development of post-varicocelectomy hydrocele: A case report and review of the literature - ResearchGate, diakses Juli 25, 2025, https://www.researchgate.net/publication/260380474_Immediate_development_of_post-varicocelectomy_hydrocele_A_case_report_and_review_of_the_literature
Filarial Hydrocele - StatPearls - NCBI Bookshelf, diakses Juli 25, 2025, https://www.ncbi.nlm.nih.gov/books/NBK560776/
Hernia and Hydrocele - Essential Surgery - NCBI Bookshelf, diakses Juli 25, 2025, https://www.ncbi.nlm.nih.gov/books/NBK333501/
The "filarial dance" is not characteristic of filariasis: Observations of "dancing megasperm" on high-resolution sonography in patients from nonendemic areas mimicking the filarial dance and a proposed mechanism for this phenomenon - ResearchGate, diakses Juli 25, 2025, https://www.researchgate.net/publication/51527051_The_filarial_dance_is_not_characteristic_of_filariasis_Observations_of_dancing_megasperm_on_high-resolution_sonography_in_patients_from_nonendemic_areas_mimicking_the_filarial_dance_and_a_proposed_mec
Accidental Rupture of Hydrocele: A Case Report - ResearchGate, diakses Juli 25, 2025, https://www.researchgate.net/publication/51204502_Accidental_Rupture_of_Hydrocele_A_Case_Report
Deflate-gate: Conservative Management of a Large Ruptured Hydrocele - PMC, diakses Juli 25, 2025, https://pmc.ncbi.nlm.nih.gov/articles/PMC4714318/
Observations on hydroceles following adolescent varicocelectomy - PubMed, diakses Juli 25, 2025, https://pubmed.ncbi.nlm.nih.gov/22019156/
[Abdominal-scrotal hydrocele: a report of 4 cases and a review of the literature] - PubMed, diakses Juli 25, 2025, https://pubmed.ncbi.nlm.nih.gov/7567647/
Aspiration and Sclerotherapy: A Minimally Invasive Treatment for ..., diakses Juli 25, 2025, https://pubmed.ncbi.nlm.nih.gov/34968574/