13 Jan 2026 • Obgyn
Vaginosis Bakterialis (VB) merupakan salah satu kondisi ginekologis yang paling sering dijumpai dalam praktik klinis sehari-hari, namun penatalaksanaannya dalam kehamilan diselimuti oleh kompleksitas dan kontroversi. Memahami nuansa ini adalah krusial bagi dokter umum yang berada di lini terdepan perawatan antenatal.
Vaginosis Bakterialis secara fundamental bukanlah sebuah infeksi dalam artian klasik, melainkan sebuah kondisi disbiosis ekologis pada mikrobioma vagina. Kondisi ini ditandai oleh pergeseran dramatis dari flora normal yang didominasi oleh spesies Lactobacillus yang protektif, menjadi flora polimikrobial yang didominasi oleh bakteri anaerob seperti Gardnerella vaginalis, Atopobium vaginae, spesies Prevotella, dan Mycoplasma hominis Prevalensi VB pada kehamilan cukup tinggi, dilaporkan berkisar antara 7% hingga 30%, dengan angka yang lebih tinggi pada beberapa populasi tertentu.
Salah satu aspek patofisiologis kunci dari VB adalah pembentukan biofilm bakteri yang melekat erat pada epitel vagina. Biofilm ini merupakan komunitas bakteri terstruktur yang memberikan perlindungan terhadap antibiotik dan sistem imun pejamu, menjadi faktor utama di balik tingginya angka persistensi dan kekambuhan penyakit.
Mekanisme yang menghubungkan VB dengan luaran kehamilan yang merugikan tidak hanya sebatas keberadaan bakteri. Bakteri-bakteri ini memproduksi faktor virulensi, seperti enzim sialidase dan musinase, yang mampu mendegradasi lapisan mukus serviks yang bersifat protektif. Kerusakan barier pertahanan ini membuka jalan bagi bakteri untuk naik (ascending infection) dari vagina ke dalam kavum uteri.
Proses ini dapat memicu kaskade inflamasi intrauterin, seperti korioamnionitis, yang merupakan salah satu pemicu utama persalinan prematur. Dengan demikian, VB bukan sekadar masalah lokal pada vagina, melainkan sebuah gerbang potensial menuju komplikasi obstetri yang serius.

Paradoks utama dalam manajemen VB pada kehamilan terletak pada diskoneksi antara asosiasi epidemiologis yang kuat dan efikasi intervensi klinis yang seringkali mengecewakan. Sejumlah besar bukti secara konsisten mengaitkan VB dengan berbagai luaran kehamilan yang merugikan, termasuk persalinan prematur (preterm birth/PTB), berat badan lahir rendah (BBLR), ketuban pecah dini prematur (KPDP), keguguran lanjut, dan endometritis postpartum. Beberapa studi bahkan menunjukkan peningkatan risiko PTB lebih dari dua kali lipat, dan hingga tujuh kali lipat jika VB didiagnosis sebelum usia kehamilan 16 minggu.
Namun, terlepas dari asosiasi yang kuat ini, berbagai uji klinis acak terkontrol (RCT) berskala besar dan meta-analisis berkualitas tinggi secara konsisten menunjukkan bahwa terapi antibiotik, meskipun efektif dalam memberantas bakteri (mencapai kesembuhan mikrobiologis), secara umum tidak berhasil mengurangi risiko PTB secara signifikan.
Kegagalan ini kemungkinan disebabkan oleh beberapa faktor. Pertama, kaskade inflamasi yang berujung pada persalinan prematur mungkin telah dimulai jauh sebelum diagnosis ditegakkan dan terapi diberikan, sehingga intervensi menjadi terlambat untuk mengubah hasil akhir. Kedua, antibiotik standar mungkin gagal memberantas biofilm bakteri yang persisten atau tidak mampu mencapai traktus genital bagian atas di mana infeksi mungkin telah menyebar. Ketiga, "kesembuhan" mikrobiologis seringkali tidak disertai dengan restorasi penuh ekosistem vagina yang sehat dan didominasi Lactobacillus, meninggalkan vagina rentan terhadap kekambuhan.
Diagnosis VB yang akurat di tingkat layanan primer adalah langkah pertama yang fundamental. Dokter umum dapat mengandalkan kriteria klinis yang praktis sambil memahami standar emas laboratorium dan perkembangan teknologi diagnostik.
Kriteria Amsel merupakan landasan diagnosis klinis VB di ruang praktik. Diagnosis ditegakkan jika minimal tiga dari empat kriteria berikut terpenuhi :
Cairan vagina yang tipis, homogen, berwarna putih keabuan.
pH cairan vagina > 4.5.
Tes "whiff" positif: tercium bau amis (amine odor) setelah penambahan larutan Kalium Hidroksida (KOH) 10% pada sampel cairan vagina.
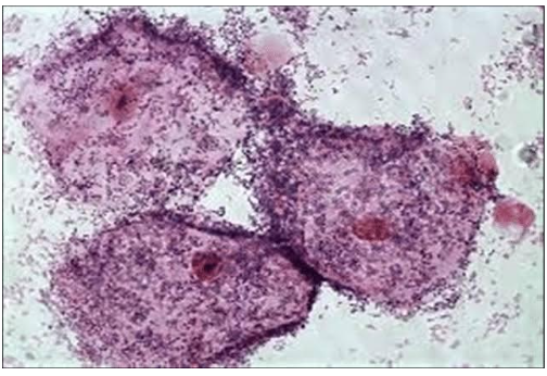
Ditemukannya clue cells (sel epitel vagina yang permukaannya tertutup oleh bakteri sehingga batasnya kabur) pada lebih dari 20% sel epitel pada pemeriksaan mikroskopis sediaan basah.
Meskipun aturan "3 dari 4" adalah standar, setiap kriteria memiliki bobot diagnostik yang berbeda. Kehadiran clue cells adalah prediktor tunggal yang paling kuat, dengan sensitivitas dan spesifisitas yang tinggi. Sebaliknya, pH vagina > 4.5 memiliki sensitivitas tinggi namun spesifisitas rendah, sementara tes whiff memiliki spesifisitas tinggi namun sensitivitas rendah. Hal ini berarti, bagi dokter yang memiliki akses mikroskop, pemeriksaan sediaan basah untuk mencariclue cells harus menjadi prioritas.
Gambar 1. Clue cells pada BV

Skor Nugent, yang didasarkan pada pewarnaan Gram untuk kuantifikasi morfotipe bakteri, dianggap sebagai standar emas laboratorium untuk diagnosis VB dalam penelitian. Namun, metode ini tidak praktis untuk penggunaan klinis rutin karena memerlukan waktu, biaya, dan keahlian interpretasi.
Metode molekuler yang lebih baru, seperti Polymerase Chain Reaction (PCR), kini mulai muncul dan menawarkan sensitivitas yang lebih tinggi serta kemampuan untuk menilai komposisi mikroba secara lebih akurat. Kebutuhan akan tes yang lebih baik muncul karena kriteria Amsel terbukti dapat melewatkan sejumlah kasus yang signifikan jika dibandingkan dengan skor Nugent atau PCR.
Tabel 1: Perbandingan Kriteria Diagnostik VB
Kriteria | Metode | Kelebihan | Kekurangan | Akurasi (Sensitivitas/Spesifisitas) | Relevansi untuk Praktik Dokter Umum |
Kriteria Amsel | Pemeriksaan klinis dan mikroskopis sederhana (sediaan basah, pH, tes whiff) | Cepat, murah, praktis di ruang praktik | Subjektif, membutuhkan mikroskop untuk akurasi maksimal, bisa kurang sensitif | Cukup baik secara keseluruhan (Sens: 91%, Spes: 91% vs Nugent) | Sangat relevan. Merupakan alat diagnostik utama di layanan primer. |
Skor Nugent | Pewarnaan Gram dan kuantifikasi morfotipe bakteri di laboratorium | Standar emas, objektif, kuantitatif | Membutuhkan laboratorium, waktu, biaya, dan ahli interpretasi; tidak praktis untuk diagnosis cepat | Standar referensi untuk penelitian. | Kurang relevan untuk praktik sehari-hari, lebih untuk penelitian atau kasus rujukan. |
Tes Molekuler (PCR) | Deteksi DNA bakteri spesifik | Sangat sensitif dan spesifik, kuantitatif, dapat mengidentifikasi spesies bakteri | Biaya tinggi, belum tersedia secara luas, signifikansi klinis dari semua temuan belum sepenuhnya jelas. | Sangat tinggi, dapat lebih sensitif dari Nugent | Masa depan diagnosis. Saat ini relevan untuk kasus rekuren atau atipikal jika tersedia. |
Metronidazole dan Klindamisin adalah dua pilar utama dalam terapi VB. Memahami efikasi, perbandingan, dan profil keamanan keduanya sangat penting dalam memilih terapi yang tepat untuk pasien hamil.
Kedua antibiotik ini efektif dalam mencapai kesembuhan mikrobiologis, dengan angka keberhasilan antara 75-90%. Baik sediaan oral maupun vaginal dari metronidazole menunjukkan efikasi yang sebanding pada wanita tidak hamil. Beberapa bukti menunjukkan bahwa Klindamisin mungkin lebih sesuai untuk kehamilan karena memiliki efek anti-inflamasi dan penghambatan sitokin tambahan.
Pilihan antara rute pemberian oral (sistemik) dan vaginal (topikal) bukan hanya soal preferensi pasien. Terapi sistemik tampaknya memberikan beberapa keunggulan untuk luaran neonatal tertentu seperti angka masuk NICU dan berat lahir, meskipun tidak secara langsung mengurangi risiko PTB. Hal ini mengindikasikan bahwa terapi sistemik diperlukan untuk mengatasi kemungkinan kolonisasi di traktus genital bagian atas, yang tidak dapat dijangkau oleh terapi topikal.
Namun, gambaran ini menjadi rumit karena adanya laporan bahwa klindamisin vaginal dapat meningkatkan luaran yang merugikan dan metronidazole oral dapat meningkatkan risiko PTB pada kelompok risiko tinggi tertentu. Ini menunjukkan tidak ada satu pendekatan "terbaik" yang universal.
Secara umum, kedua obat ini dianggap aman dalam kehamilan.
Metronidazole: Tergolong dalam FDA Pregnancy Category B dan berbagai studi serta meta-analisis tidak menemukan bukti bahwa obat ini bersifat teratogenik, bahkan jika digunakan pada trimester pertama. Satu tinjauan mencatat adanya kemungkinan peningkatan risiko aborsi spontan, namun risiko ini sulit dipisahkan dari efek penyakit VB itu sendiri (confounding by indication).
Klindamisin: Juga dianggap aman secara umum. Namun, sebuah studi kohort besar menemukan adanya hubungan antara paparan Klindamisin pada trimester pertama dengan sedikit peningkatan risiko absolut malformasi kongenital mayor, khususnya pada sistem muskuloskeletal dan defek septum jantung. Temuan ini memerlukan interpretasi yang hati-hati dan belum terkonfirmasi oleh studi lain, namun menjadi sinyal keamanan yang perlu dipertimbangkan.
Mengingat manfaat terapi untuk mencegah PTB masih belum terbukti secara konsisten, setiap sinyal risiko, sekecil apapun, harus menjadi bahan pertimbangan dalam proses pengambilan keputusan bersama dengan pasien.
Mengetahui dosis, rute, dan durasi terapi yang tepat adalah kunci untuk praktik klinis yang efektif dan aman.
Pedoman dari berbagai badan profesional internasional memberikan rekomendasi yang sebagian besar konsisten, terutama untuk penanganan VB simtomatik.
Pedoman Amerika Serikat (CDC/ACOG): Merekomendasikan regimen oral sebagai lini pertama. Pilihan utama meliputi Metronidazole 500 mg dua kali sehari selama 7 hari atau Klindamisin 300 mg dua kali sehari selama 7 hari. Regimen topikal seperti gel Metronidazole dan krim Klindamisin juga merupakan alternatif yang dapat diterima.
Pedoman Eropa/Inggris (misalnya, BASHH): Juga merekomendasikan Metronidazole 400-500 mg dua kali sehari selama 5-7 hari atau Klindamisin 300 mg dua kali sehari selama 7 hari untuk wanita hamil yang simtomatik.
Pandangan Kontras: Penting untuk dicatat bahwa terdapat perbedaan pandangan. Sebagai contoh, pedoman dari Danish Society of Obstetrics and Gynecology (DSOG) secara eksplisit merekomendasikan untuk tidak memberikan terapi antibiotik dengan tujuan mengurangi risiko PTB, meskipun memperbolehkan penggunaan Klindamisin untuk meredakan gejala. Ini menyoroti kontroversi global yang sedang berlangsung, di mana badan yang berbeda dapat menafsirkan bukti yang sama dengan penekanan yang berbeda (misalnya, meredakan gejala vs. pencegahan komplikasi).
Tabel 2: Regimen Antibiotik yang Direkomendasikan untuk VB pada Kehamilan (Sintesis Guideline)
Antibiotik | Rute Pemberian | Dosis dan Durasi (Regimen Utama & Alternatif) | Catatan Keamanan & Pertimbangan Klinis |
Metronidazole | Oral | Utama: 500 mg, 2x/hari, 7 hari. Alternatif: 250 mg, 3x/hari, 7 hari. | Dianggap aman di semua trimester. Secara tradisional disarankan menghindari alkohol, meskipun bukti reaksi disulfiram lemah. Dapat menyebabkan rasa logam & mual. |
Klindamisin | Oral | Utama: 300 mg, 2x/hari, 7 hari. | Dianggap aman. Satu studi mengaitkan dengan sedikit peningkatan risiko malformasi spesifik (memerlukan interpretasi hati-hati). Dapat menyebabkan diare. |
Metronidazole | Vaginal (Gel 0.75%) | 1 aplikator (5 g), 1x/hari, 5 hari. | Efek samping sistemik lebih rendah. Efikasi untuk mencegah komplikasi kehamilan (misalnya, infeksi traktus atas) mungkin lebih rendah dari terapi oral. |
Klindamisin | Vaginal (Krim 2%) | 1 aplikator (5 g), 1x/hari (malam), 7 hari. | Berbasis minyak, dapat merusak kondom lateks. Beberapa bukti menunjukkan peningkatan luaran merugikan pada kehamilan, perlu kehati-hatian. |
Dua area yang paling menantang dalam praktik klinis adalah penanganan pasien hamil dengan VB tanpa gejala dan mereka yang mengalami kekambuhan berulang.
Sebagian besar wanita hamil dengan VB tidak menunjukkan gejala. US Preventive Services Task Force (USPSTF) secara eksplisit merekomendasikan untuk tidak melakukan skrining dan terapi rutin pada wanita hamil dengan VB asimtomatik yang tidak memiliki risiko tinggi untuk persalinan prematur (Rekomendasi D). Untuk wanita hamil yang memiliki risiko tinggi (misalnya, riwayat PTB sebelumnya), bukti yang ada dianggap tidak cukup untuk merekomendasikan atau menentang skrining dan terapi (Pernyataan I).
Rasional di balik rekomendasi ini adalah prinsip primum non nocere (pertama, jangan membahayakan). Pada populasi risiko rendah, karena manfaat pencegahan PTB tidak terbukti, maka potensi risiko terapi (efek samping, resistensi antibiotik, sinyal keamanan minor) tidak dapat dibenarkan.
Area abu-abu pada populasi risiko tinggi menciptakan dilema klinis. Ini tidak berarti terapi tidak efektif, tetapi kita belum tahu pasti. Situasi ini menuntut pendekatan individual dan pengambilan keputusan bersama, di mana dokter harus mendiskusikan ketidakpastian ini dengan pasien, menimbang potensi manfaat yang belum terbukti dengan risiko terapi yang kecil namun nyata.
Kekambuhan VB sangat umum terjadi, dengan angka mencapai lebih dari 50% dalam satu tahun pasca-terapi. Hipotesis utama penyebabnya adalah persistensi biofilm polimikrobial yang kebal terhadap terapi antibiotik jangka pendek konvensional.
Penatalaksanaan VB rekuren memerlukan pergeseran paradigma dari "terapi akut" menjadi "manajemen penyakit kronis". Strategi yang digunakan (terutama pada wanita tidak hamil) berfokus pada upaya mengatasi biofilm ini, seperti terapi induksi yang diperpanjang (misalnya, Metronidazole oral selama 10-14 hari) yang diikuti oleh terapi supresif jangka panjang (misalnya, gel Metronidazole vaginal dua kali seminggu selama 4-6 bulan). Penerapan strategi ini pada kehamilan harus dilakukan dengan sangat hati-hati dan idealnya melalui konsultasi dengan spesialis.
Presentasi Pasien: Apakah pasien hamil simtomatik (keputihan, bau) atau asimtomatik?
Diagnosis: Jika simtomatik, tegakkan diagnosis menggunakan kriteria Amsel, dengan prioritas pada pemeriksaan mikroskopis untuk clue cells jika memungkinkan.
Stratifikasi Risiko: Apakah pasien memiliki riwayat persalinan prematur sebelumnya? Ini adalah pertanyaan kunci.
Keputusan Terapi:
Pasien Simtomatik (Risiko Rendah atau Tinggi): Berikan terapi untuk meredakan gejala. Diskusikan pilihan rute oral vs. vaginal. Lini pertama: Metronidazole oral 500 mg 2x/hari selama 7 hari atau Klindamisin oral 300 mg 2x/hari selama 7 hari. Berikan konseling mengenai profil keamanan.
Pasien Asimtomatik (Risiko Rendah): Jangan berikan terapi. Edukasi dan tenangkan pasien, sesuai pedoman USPSTF.
Pasien Asimtomatik (Risiko Tinggi): Area ketidakpastian klinis. Lakukan pengambilan keputusan bersama. Jelaskan bukti yang bertentangan—bahwa manfaat belum terbukti secara meyakinkan. Keputusan untuk mengobati atau tidak bersifat individual.
Tindak Lanjut & Kekambuhan: Jika gejala teratasi, tes ulang tidak diperlukan. Jika terjadi kekambuhan berulang, kenali ini sebagai VB rekuren yang kemungkinan terkait biofilm. Pertimbangkan rujukan atau konsultasi untuk regimen terapi supresif.
Tentang Diagnosis: Jelaskan bahwa VB adalah ketidakseimbangan bakteri normal vagina, bukan penyakit menular seksual, meskipun terkait dengan aktivitas seksual.
Tentang Tujuan Terapi: Sampaikan tujuan terapi secara realistis. Untuk wanita simtomatik, tujuannya adalah meredakan gejala. Kelola ekspektasi dengan menyatakan bahwa meskipun VB terkait dengan PTB, saat ini belum ada bukti kuat bahwa pengobatan akan menurunkan risiko pribadi mereka untuk melahirkan prematur.
Tentang Kepatuhan & Efek Samping: Tekankan pentingnya menyelesaikan seluruh dosis antibiotik. Berikan informasi tentang efek samping umum dan peringatan spesifik (misalnya, rasa logam pada metronidazole, krim berbasis minyak dapat merusak kondom).
Tentang Pencegahan: Sarankan untuk menjaga kesehatan vagina secara umum, seperti menghindari douching dan penggunaan sabun yang keras.
Antibiotics for treating bacterial vaginosis in pregnancy - PubMed, accessed July 21, 2025, https://pubmed.ncbi.nlm.nih.gov/23440777/
Treatment of bacterial vaginosis in pregnancy in order to reduce the risk of spontaneous preterm delivery - a clinical recommendation - PubMed, accessed July 21, 2025, https://pubmed.ncbi.nlm.nih.gov/27258798/
Treatment and management of bacterial vaginosis in pregnancy: current and future perspectives - PubMed, accessed July 21, 2025, https://pubmed.ncbi.nlm.nih.gov/19803898/
Prevalence, risk factors, and adverse outcomes of bacterial vaginosis among pregnant women: a systematic review - PubMed, accessed July 21, 2025, https://pubmed.ncbi.nlm.nih.gov/39833700/
Bacterial Vaginosis: Guideline of the DGGG, OEGGG and SGGG (S2k-Level, AWMF Registry No. 015/028, June 2023), accessed July 21, 2025, https://pmc.ncbi.nlm.nih.gov/articles/PMC10624544/
Characterization and Treatment of Recurrent Bacterial Vaginosis - PubMed, accessed July 21, 2025, https://pubmed.ncbi.nlm.nih.gov/31403349/
Recurrent bacterial vaginosis - PubMed, accessed July 21, 2025, https://pubmed.ncbi.nlm.nih.gov/19532085/
S1-Guideline on Bacterial Vaginosis in Gynecology and Obstetrics: Long version, accessed July 21, 2025, https://pmc.ncbi.nlm.nih.gov/articles/PMC3964348/
Changes in the Vaginal Microenvironment with Metronidazole Treatment for Bacterial Vaginosis in Early Pregnancy - PMC, accessed July 21, 2025, https://pmc.ncbi.nlm.nih.gov/articles/PMC2864467/
Bacterial vaginosis is associated with prematurity and vaginal fluid mucinase and sialidase: results of a controlled trial of topical clindamycin cream - PubMed, accessed July 21, 2025, https://pubmed.ncbi.nlm.nih.gov/8166188/
Prevalence, risk factors, and adverse outcomes of bacterial vaginosis among pregnant women: a systematic review - PubMed Central, accessed July 21, 2025, https://pmc.ncbi.nlm.nih.gov/articles/PMC11744995/
Bacterial vaginosis in pregnancy and the risk of prematurity: a meta-analysis - PubMed, accessed July 21, 2025, https://pubmed.ncbi.nlm.nih.gov/10907626/
About Bacterial Vaginosis (BV) - CDC, accessed July 21, 2025, https://www.cdc.gov/bacterial-vaginosis/about/index.html
Bacterial vaginosis: sequelae and management - PubMed, accessed July 21, 2025, https://pubmed.ncbi.nlm.nih.gov/17035761/
Antibiotic treatment of bacterial vaginosis to prevent preterm delivery: Systematic review and individual participant data meta-analysis - PubMed Central, accessed July 21, 2025, https://pmc.ncbi.nlm.nih.gov/articles/PMC10171232/
Effects of bacterial vaginosis treatment during pregnancy on maternal-fetal outcome: A systematic review and network meta-analysis - PubMed, accessed July 21, 2025, https://pubmed.ncbi.nlm.nih.gov/39946993/?utm_source=FeedFetcher&utm_medium=rss&utm_campaign=pubmed-2&utm_content=1J5m6aMNtTGz4QiB_n1ZVlVj7BEa7dZUGJuu-AmosZK3Q7rosh&fc=20240611115257&ff=20250322170113&v=2.18.0.post9+e462414
Metronidazole to prevent preterm delivery in pregnant women with asymptomatic bacterial vaginosis. National Institute of Child Health and Human Development Network of Maternal-Fetal Medicine Units - PubMed, accessed July 21, 2025, https://pubmed.ncbi.nlm.nih.gov/10684911/
Effect of intravaginal clindamycin cream on pregnancy outcome and on abnormal vaginal microbial flora of pregnant women - PMC, accessed July 21, 2025, https://pmc.ncbi.nlm.nih.gov/articles/PMC1784677/
Intravaginal clindamycin treatment for bacterial vaginosis: effects on preterm delivery and low birth weight - PubMed, accessed July 21, 2025, https://pubmed.ncbi.nlm.nih.gov/7503196/
Comparison of oral and vaginal metronidazole for treatment of bacterial vaginosis in pregnancy: impact on fastidious bacteria - PubMed, accessed July 21, 2025, https://pubmed.ncbi.nlm.nih.gov/19515236/
Changes in the vaginal microenvironment with metronidazole treatment for bacterial vaginosis in early pregnancy - PubMed, accessed July 21, 2025, https://pubmed.ncbi.nlm.nih.gov/19951217/
Amsel Criteria - StatPearls - NCBI Bookshelf, accessed July 21, 2025, https://www.ncbi.nlm.nih.gov/books/NBK542319/
Bacterial Vaginosis - CDC Diagnosis and Treatment Recommendations - The ObG Project, accessed July 21, 2025, https://www.obgproject.com/2016/10/16/bv-cdc-diagnosis-treatment-recommendations/
Bacterial Vaginosis 2012 | BASHH, accessed July 21, 2025, https://www.bashh.org/resources/21/bacterial_vaginosis_2012/
Diagnostic Value of Amsel's Clinical Criteria for Diagnosis of ..., accessed July 21, 2025, https://pmc.ncbi.nlm.nih.gov/articles/PMC4802101/
Amsel Criteria - PubMed, accessed July 21, 2025, https://pubmed.ncbi.nlm.nih.gov/31194459/
Utility of Amsel criteria, Nugent score, and quantitative PCR for Gardnerella vaginalis, Mycoplasma hominis, and Lactobacillus spp. for diagnosis of bacterial vaginosis in human immunodeficiency virus-infected women - PubMed, accessed July 21, 2025, https://pubmed.ncbi.nlm.nih.gov/16145114/
Molecular Testing for the Diagnosis of Bacterial Vaginosis - PubMed, accessed July 21, 2025, https://pubmed.ncbi.nlm.nih.gov/38203620/
Prevalence of bacterial vaginosis and correlation of clinical to Gram stain diagnostic criteria in low risk pregnant women - PubMed, accessed July 21, 2025, https://pubmed.ncbi.nlm.nih.gov/10669125/
Bacterial Vaginosis - STI Treatment Guidelines - CDC, accessed July 21, 2025, https://www.cdc.gov/std/treatment-guidelines/bv.htm
Indications for therapy and treatment recommendations for bacterial ..., accessed July 21, 2025, https://www.ncbi.nlm.nih.gov/books/NBK69089/
Vaginal clindamycin in preventing preterm birth and peripartal infections in asymptomatic women with bacterial vaginosis: a randomized, controlled trial - PubMed, accessed July 21, 2025, https://pubmed.ncbi.nlm.nih.gov/11339909/
Comparison of oral and vaginal metronidazole therapy for nonspecific bacterial vaginosis - PubMed, accessed July 21, 2025, https://pubmed.ncbi.nlm.nih.gov/3710287/
Treatment of bacterial vaginosis: a comparison of oral metronidazole, metronidazole vaginal gel, and clindamycin vaginal cream - PubMed, accessed July 21, 2025, https://pubmed.ncbi.nlm.nih.gov/7595261/
Antibiotics in second trimester may reduce risk of preterm birth - PMC, accessed July 21, 2025, https://pmc.ncbi.nlm.nih.gov/articles/PMC1790764/
The effect of second-trimester antibiotic therapy on the rate of preterm birth - PubMed, accessed July 21, 2025, https://pubmed.ncbi.nlm.nih.gov/17346476/
Metronidazole Appears Not to Be a Human Teratogen: Review of Literature - PubMed, accessed July 21, 2025, https://pubmed.ncbi.nlm.nih.gov/18476180/
Investigation of Metronidazole Use during Pregnancy and Adverse Birth Outcomes - PMC, accessed July 21, 2025, https://pmc.ncbi.nlm.nih.gov/articles/PMC3421860/
A Review of Antibiotic Use in Pregnancy - PubMed, accessed July 21, 2025, https://pubmed.ncbi.nlm.nih.gov/26598097/
The safety of metronidazole in pregnancy - PubMed, accessed July 21, 2025, https://pubmed.ncbi.nlm.nih.gov/33739240/
Use of antibiotics during pregnancy and the risk of major congenital malformations: a population based cohort study, accessed July 21, 2025, https://pmc.ncbi.nlm.nih.gov/articles/PMC5651310/
Management of bacterial vaginosis: Updated guidance from ACOG - Women's Healthcare, accessed July 21, 2025, https://www.npwomenshealthcare.com/management-of-bacterial-vaginosis-updated-guidance-from-acog/
ACOG PRACTICE BULLETIN - ARUP Laboratories, accessed July 21, 2025, https://www.aruplab.com/files/resources/infectious-disease/ACOG_Practice_Bulletin_Number_215.pdf
ACOG Releases Report on Antimicrobial Therapy in Pregnancy ..., accessed July 21, 2025, https://www.aafp.org/pubs/afp/issues/1998/1015/p1477.html
Bacterial vaginosis in pregnancy and risk of spontaneous preterm delivery - Nordic Federation of Societies of Obstetrics and Gynecology, accessed July 21, 2025, https://nfog.org/wp-content/uploads/2019/03/190225NU-BV-guideline-DSOG.pdf
Asymptomatic Bacterial Vaginosis: To Treat or Not to Treat? - PubMed, accessed July 21, 2025, https://pubmed.ncbi.nlm.nih.gov/33814990/
Bacterial Vaginosis in Pregnant Persons to Prevent Preterm Delivery: Screening, accessed July 21, 2025, https://www.uspreventiveservicestaskforce.org/Page/Document/RecommendationStatementFinal/bacterial-vaginosis-in-pregnancy-to-prevent-preterm-delivery-screening
Screening for Bacterial Vaginosis in Pregnant Persons to Prevent Preterm Delivery: Recommendation Statement | AAFP, accessed July 21, 2025, https://www.aafp.org/pubs/afp/issues/2020/0715/p105.html
Recurrent Bacterial Vaginosis - PubMed, accessed July 21, 2025, https://pubmed.ncbi.nlm.nih.gov/11095900/
Bacterial vaginosis and pregnancy - March of Dimes, accessed July 21, 2025, https://www.marchofdimes.org/find-support/topics/pregnancy/bacterial-vaginosis-and-pregnancy
About Bacterial Vaginosis (BV) - National Institute of Child Health and Human Development (NICHD), accessed July 21, 2025, https://www.nichd.nih.gov/health/topics/factsheets/bacterialvaginosis