17 Mar 2026 • Kulit
Pendahuluan
Diagnosis akurat pada kasus kusta memegang peranan krusial dalam upaya pencegahan morbiditas dan transmisi penyakit yang disebabkan oleh Mycobacterium leprae ini . Meskipun angka kejadian kusta telah menurun secara global, tantangan diagnostik tetap ada, terutama dalam membedakan antara Kusta Histoid dan Kusta Relaps . Kedua kondisi ini sering melibatkan pasien dengan klasifikasi Multibacillary (MB) dan dapat muncul dengan manifestasi lesi kulit yang atipikal .
Kusta Histoid, sebagai varian dari Kusta Lepromatosa (MB), dan Kusta Relaps, yang juga dapat bermanifestasi sebagai MB meskipun presentasi awal mungkin Paucibacillary (PB) , memiliki potensi kemiripan klinis yang dapat menyulitkan diagnosis tanpa pendekatan yang sistematis.
Artikel ini bertujuan untuk menyajikan panduan praktis langkah demi langkah bagi dokter umum untuk membedakan kedua kondisi ini berdasarkan bukti ilmiah terkini yang terindeks di PubMed dalam kurun waktu 5 hingga 10 tahun terakhir. Dengan pemahaman yang lebih baik mengenai karakteristik unik dari masing-masing kondisi, diharapkan dokter umum dapat memberikan penatalaksanaan yang tepat dan berkontribusi pada upaya eliminasi kusta.

Mengenal Kusta Histoid
Kusta Histoid merupakan varian khusus dari Kusta Lepromatosa (LL) yang ditandai dengan akumulasi histiosit berbentuk spindel yang kaya akan basil . Kondisi ini memiliki fitur klinis dan histopatologi yang khas. Secara klinis, Kusta Histoid seringkali bermanifestasi sebagai papul dan nodul yang terdefinisi dengan baik, memiliki permukaan yang halus dan mengkilap, serta berbentuk kubah .
Warna lesi dapat bervariasi dari sewarna kulit hingga kekuningan atau kecoklatan, dengan ukuran yang berkisar antara 1 hingga 3 cm . Distribusi lesi pada Kusta Histoid memiliki predileksi pada permukaan ekstensor ekstremitas (misalnya, siku dan lutut), punggung, bokong, dan area bertulang lainnya .
Lesi juga dapat muncul di wajah dan telinga , dan umumnya bersifat multipel, dengan jumlah lesi yang dapat mencapai 3 hingga 50 atau lebih . Sensasi pada lesi dan area di sekitarnya biasanya tidak terganggu pada tahap awal, meskipun penebalan saraf perifer dapat terjadi .
Penting untuk dicatat bahwa Kusta Histoid dapat terjadi de novo pada individu yang belum pernah mendapatkan pengobatan kusta sebelumnya , atau sebagai akibat dari pengobatan kusta yang tidak adekuat atau resistensi terhadap obat dapson .
Dari sudut pandang histopatologi, Kusta Histoid memiliki ciri khas berupa adanya sel-sel histiosit berbentuk spindel yang tersusun dalam pola pusaran atau storiform di dermis . Selain itu, sering ditemukan adanya Grenz zone, yaitu band acellular di bawah epidermis yang memisahkan infiltrat seluler dari epidermis .
Pemeriksaan bakteriologis, baik melalui slit skin smear (SSS) maupun biopsi, biasanya menunjukkan jumlah basil yang sangat tinggi, dengan Indeks Bakteriologi (IB) seringkali berada di antara 4+ hingga 6+ . Morfologi basil pada Kusta Histoid juga khas, di mana basil tampak solid stained, seragam, dan cenderung lebih panjang dari basil lepra biasa, dengan ujung yang meruncing .
Satu fitur histopatologi penting lainnya adalah absennya globi, yaitu tidak adanya kumpulan basil yang biasanya terlihat pada Kusta Lepromatosa biasa .
Mengenal Kusta Relaps
Kusta Relaps didefinisikan sebagai munculnya kembali tanda dan gejala aktif penyakit kusta pada seorang pasien yang sebelumnya telah menyelesaikan pengobatan multidrug therapy (MDT) sesuai standar dan dinyatakan sembuh berdasarkan kriteria yang berlaku .
Kecurigaan terhadap Kusta Relaps harus timbul pada pasien dengan riwayat pengobatan kusta yang datang kembali dengan keluhan adanya lesi kulit baru atau lesi lama yang kembali aktif, terutama jika kemunculan kembali ini terjadi setelah periode bebas gejala yang signifikan. Periode ini umumnya lebih dari 5 tahun untuk kasus MB dan lebih dari 3 tahun untuk kasus PB . Bahkan, relaps dapat terjadi hingga 20 tahun setelah masa remisi .
Secara klinis, Kusta Relaps dapat menunjukkan manifestasi yang bervariasi. Lesi yang muncul kembali dapat mirip dengan lesi yang dialami pasien sebelumnya, atau bahkan berbeda, berupa makula hipopigmentasi atau eritematosa, papul, nodul, atau infiltrasi .
Distribusi lesi juga mungkin berbeda dari presentasi awal penyakit. Keterlibatan saraf seringkali menjadi petunjuk penting pada Kusta Relaps, dengan gejala seperti nyeri pada jalur saraf, munculnya penebalan saraf baru, atau gangguan fungsi saraf (misalnya, kehilangan sensasi atau kelemahan otot) yang tidak responsif terhadap pengobatan dengan kortikosteroid .
Perlu diperhatikan bahwa klasifikasi kusta pasien dapat berubah saat relaps, di mana pasien yang awalnya diklasifikasikan sebagai PB dapat mengalami relaps sebagai MB, dan sebaliknya . Interval waktu antara penyelesaian pengobatan awal dan terjadinya relaps umumnya lebih lama dibandingkan dengan terjadinya reaksi kusta, yang biasanya muncul selama atau segera setelah pengobatan .
Pemeriksaan histopatologi pada kasus relaps dapat menunjukkan gambaran granuloma, yaitu infiltrat sel inflamasi yang mungkin terdiri dari limfosit, histiosit, dan sel epiteloid . Indeks Bakteriologi (IB) pada pemeriksaan SSS atau biopsi mungkin kembali meningkat, menunjukkan hasil BTA positif pada pasien yang sebelumnya negatif, atau peningkatan IB pada pasien yang masih positif setelah pengobatan awal .
Namun, penting untuk diingat bahwa hasil IB yang negatif tidak selalu menyingkirkan kemungkinan relaps . Beberapa penelitian menunjukkan bahwa adanya infiltrat limfositik di sekitar saraf (neural/perineural lymphocytic infiltrate) dan granuloma berbusa (foamy granulomas) pada pemeriksaan histopatologi dapat menjadi prediktor terjadinya relaps .
Algoritma Diagnosis Diferensial: Langkah Demi Langkah
Untuk membantu dokter umum dalam membedakan antara Kusta Histoid dan Kusta Relaps, berikut adalah algoritma diagnosis langkah demi langkah yang dapat diterapkan dalam praktik klinis:
Anamnesis yang Cermat: Langkah pertama yang krusial adalah melakukan anamnesis yang lengkap dan mendetail. Tanyakan kepada pasien mengenai riwayat lengkap pengobatan kusta sebelumnya, termasuk jenis kusta awal (PB atau MB), rejimen MDT yang diterima (jenis obat, dosis, dan frekuensi), durasi pengobatan, dan kapan pasien dinyatakan sembuh oleh petugas kesehatan . Catat dengan seksama onset gejala saat ini, jenis lesi kulit yang muncul (apakah berupa nodul, makula, papul, atau infiltrasi), lokasi lesi, dan apakah ada perubahan dibandingkan dengan lesi yang pernah dialami sebelumnya (jika ada) . Tanyakan juga mengenai gejala penyerta seperti nyeri saraf, kelemahan otot, atau hilangnya sensasi pada kulit . Selain riwayat kusta, penting juga untuk menanyakan riwayat pengobatan lain, kondisi komorbiditas yang mungkin dimiliki pasien, serta faktor risiko imunosupresi seperti infeksi HIV atau penggunaan obat imunosupresan . Adanya riwayat pengobatan kusta sebelumnya dan dinyatakan sembuh sangat sugestif untuk kemungkinan Kusta Relaps.
Pemeriksaan Klinis yang Komprehensif: Lakukan pemeriksaan fisik yang menyeluruh, dengan fokus pada evaluasi morfologi dan distribusi lesi kulit secara seksama . Perhatikan apakah lesi yang muncul berupa nodul-nodul yang mengkilap dan berbentuk kubah (lebih khas untuk Kusta Histoid) atau jenis lesi lain seperti makula atau papul (lebih mungkin pada Kusta Relaps). Lakukan pemeriksaan saraf perifer untuk mencari adanya penebalan saraf, nyeri tekan pada saraf, atau gangguan fungsi saraf seperti kehilangan sensasi atau kelemahan otot . Jangan lupa untuk memeriksa area lain yang seringkali terlibat pada penyakit kusta, seperti cuping telinga, mukosa hidung, dan mata .
Gambar 1. Penebalan Left Greater Auricular Nerve

Pemeriksaan Bakteriologis (Slit Skin Smear - SSS): Jika fasilitas memungkinkan, lakukan pemeriksaan SSS dari beberapa lokasi lesi kulit yang berbeda (dan dari cuping telinga jika dicurigai kusta tipe MB) untuk pewarnaan BTA menggunakan metode Ziehl-Neelsen . Hitung Indeks Bakteriologi (IB) untuk mengukur beban bakteri dalam sampel . Hasil IB yang sangat tinggi (4+ ke atas) lebih sugestif untuk diagnosis Kusta Histoid . Perhatikan juga morfologi basil yang ditemukan. Basil yang tampak solid stained, seragam, lebih panjang dari basil lepra biasa, dan memiliki ujung yang meruncing mendukung diagnosis Kusta Histoid .
Pemeriksaan Histopatologi (Biopsi Kulit): Pertimbangkan untuk melakukan biopsi kulit, terutama jika diagnosis klinis dan bakteriologis tidak memberikan hasil yang jelas atau jika terdapat presentasi kasus yang atipikal . Pada pemeriksaan histopatologi, cari adanya sel-sel histiosit berbentuk spindel yang tersusun dalam pola storiform serta adanya Grenz zone, yang merupakan ciri khas dari Kusta Histoid . Pada kasus Kusta Relaps, gambaran histopatologi mungkin menunjukkan infiltrat granulomatosa, peningkatan IB dibandingkan dengan hasil sebelumnya, dan potensi adanya infiltrat limfositik di sekitar saraf atau granuloma berbusa .
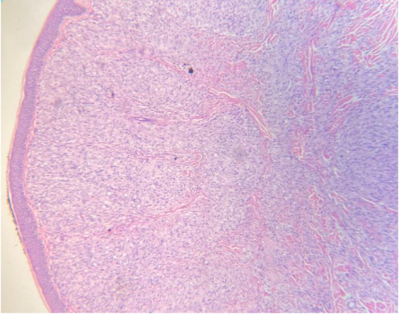
Gambar 2. Pada biopsy tampak infiltrasi difus oleh histiosit. Grenz zone terdapat diantara epidermis dan infiltrate

Pertimbangkan Pemeriksaan Tambahan (jika tersedia): Dalam kasus-kasus yang meragukan atau kompleks, pertimbangkan pemeriksaan tambahan jika fasilitas tersedia. Polymerase Chain Reaction (PCR) untuk mendeteksi DNA M. leprae dapat sangat sensitif, terutama pada kasus PB atau kasus dengan beban bakteri yang rendah . Tes serologi seperti Enzyme-Linked Immunosorbent Assay (ELISA) untuk mendeteksi antibodi terhadap phenolic glycolipid-I (PGL-1) mungkin juga membantu, meskipun interpretasi hasilnya perlu dilakukan dengan hati-hati dan tidak selalu konklusif .
Tabel Perbandingan Fitur Utama Kusta Histoid vs. Kusta Relaps
Fitur | Kusta Histoid | Kusta Relaps |
Riwayat Pengobatan | Dapat de novo atau riwayat pengobatan tidak adekuat/resistensi dapson | Riwayat pengobatan kusta sebelumnya dan dinyatakan sembuh |
Morfologi Lesi | Papul dan nodul halus, mengkilap, berbentuk kubah, warna kulit/kekuningan/coklat | Bervariasi (makula, papul, nodul, infiltrasi), bisa mirip atau berbeda dari lesi awal |
Distribusi Lesi | Ekstremitas ekstensor, punggung, bokong, area bertulang | Dapat bervariasi, mungkin di lokasi yang sama atau berbeda dari lesi awal |
Sensasi Lesi | Biasanya tidak ada kehilangan sensasi | Kehilangan sensasi mungkin ada atau kembali pada lesi |
Nyeri Saraf | Mungkin ada penebalan saraf, tetapi nyeri tidak menonjol pada lesi | Nyeri saraf, penebalan saraf baru, atau gangguan fungsi saraf seringkali ada |
Indeks Bakteriologi | Sangat tinggi (4+ hingga 6+) | Mungkin positif (meningkat dari sebelumnya) atau bahkan negatif |
Morfologi Basil | Solid stained, seragam, lebih panjang, ujung meruncing | Morfologi basil tipikal M. leprae |
Histopatologi | Histiosit spindel (storiform), Grenz zone, basil banyak, tidak ada globi | Infiltrat granulomatosa, mungkin ada peningkatan IB, infiltrat limfositik perneural, granuloma berbusa mungkin |
Implikasi Terhadap Terapi dan Dosis Obat Kusta
Prinsip dasar terapi kusta adalah penggunaan multidrug therapy (MDT), yaitu kombinasi beberapa jenis antibiotik untuk mencegah terjadinya resistensi bakteri M. leprae terhadap obat . Rejimen MDT standar yang direkomendasikan oleh World Health Organization (WHO) untuk kasus Multibacillary (MB), yang mencakup Kusta Histoid, adalah sebagai berikut:
Dewasa: Rifampisin 600 mg sekali sebulan (diawasi), Dapson 100 mg setiap hari (diminum sendiri), dan Klofazimin 300 mg sekali sebulan (diawasi) serta 50 mg setiap hari (diminum sendiri) selama 12 bulan .
Anak-anak (usia 10-14 tahun): Rifampisin 450 mg sekali sebulan, Klofazimin 150 mg sekali sebulan dan 50 mg setiap hari selang sehari, serta Dapson 50 mg setiap hari selama 12 bulan .
Karena Kusta Histoid merupakan varian dari Kusta Lepromatosa (MB), maka pengobatannya mengikuti rejimen MDT standar untuk kasus MB. Untuk pengobatan Kusta Relaps, prinsipnya adalah melakukan re-treatment dengan rejimen MDT yang sama untuk kasus MB, biasanya selama 12 bulan atau lebih .
Jika dicurigai adanya resistensi obat (misalnya, tidak adanya respons terhadap pengobatan standar), maka rejimen alternatif mungkin diperlukan. Rejimen alternatif ini dapat mencakup obat-obatan lain seperti minosiklin, ofloksasin, moksifloksasin, atau klaritromisin .
Dalam kasus seperti ini, sangat dianjurkan untuk melakukan konsultasi dengan dokter spesialis dermatologi atau leprologi. Durasi pengobatan untuk relaps mungkin perlu diperpanjang hingga 24 bulan atau lebih, tergantung pada respons klinis dan bakteriologis pasien . Dokter umum perlu menekankan pentingnya mengikuti panduan WHO atau program kusta nasional terkait dosis dan durasi pengobatan yang tepat untuk memastikan keberhasilan terapi.
Kesimpulan
Membedakan antara Kusta Histoid dan Kusta Relaps merupakan tantangan diagnostik yang penting dalam praktik klinis. Kusta Histoid ditandai dengan lesi nodular yang khas, Indeks Bakteriologi yang sangat tinggi, dan gambaran histopatologi yang unik berupa histiosit spindel dan Grenz zone.
Sementara itu, Kusta Relaps dicurigai pada pasien dengan riwayat pengobatan kusta sebelumnya yang mengalami kemunculan kembali gejala, seringkali disertai dengan keterlibatan saraf. Pendekatan diagnosis yang komprehensif, mencakup anamnesis yang cermat, pemeriksaan klinis yang teliti, serta pemeriksaan bakteriologis, dengan histopatologi sebagai alat bantu yang berharga, sangat penting untuk diagnosis yang akurat.
Dokter umum disarankan untuk melakukan konsultasi dengan spesialis dermatologi atau leprologi jika diagnosis masih meragukan atau jika ada indikasi resistensi obat. Selain itu, pelaporan kasus kusta dan kepatuhan terhadap program eliminasi kusta nasional tetap menjadi prioritas dalam upaya pengendalian penyakit ini.
An update of the diagnosis, treatment, and prevention of leprosy: A narrative review, accessed March 30, 2025, https://pubmed.ncbi.nlm.nih.gov/39183407/
Leprosy - StatPearls - NCBI Bookshelf, accessed March 30, 2025, https://www.ncbi.nlm.nih.gov/books/NBK559307/
Beyond Classic Leprosy: Exploring Atypical Manifestations and ..., accessed March 30, 2025, https://pmc.ncbi.nlm.nih.gov/articles/PMC11742885/
De Novo Histoid Leprosy: A Case Report from a Post-Elimination Area - PubMed Central, accessed March 30, 2025, https://pmc.ncbi.nlm.nih.gov/articles/PMC4372946/
De Novo Histoid Leprosy With Unusual Histological Features - PMC, accessed March 30, 2025, https://pmc.ncbi.nlm.nih.gov/articles/PMC8569650/
Clinical features and diagnosis of relapses in leprosy - PubMed, accessed March 30, 2025, https://pubmed.ncbi.nlm.nih.gov/7622930/
De Novo Histoid Leprosy - PMC, accessed March 30, 2025, https://pmc.ncbi.nlm.nih.gov/articles/PMC4601467/
Histoid Leprosy - PMC, accessed March 30, 2025, https://pmc.ncbi.nlm.nih.gov/articles/PMC4458807/
Histoid leprosy - A rare clinical presentation - PMC, accessed March 30, 2025, https://pmc.ncbi.nlm.nih.gov/articles/PMC8441472/
A clinical and histopathological study of histoid leprosy - PubMed, accessed March 30, 2025, https://pubmed.ncbi.nlm.nih.gov/23590373/
De Novo Histoid Leprosy in an Elderly: A Case Report and Review of the Literature - PMC, accessed March 30, 2025, https://pmc.ncbi.nlm.nih.gov/articles/PMC3501807/
Histoid Leprosy with Localised Facial Lesions: A Unique Presentation - PMC, accessed March 30, 2025, https://pmc.ncbi.nlm.nih.gov/articles/PMC10969242/
Wade histoid leprosy: histological and immunohistochemical analysis - PubMed, accessed March 30, 2025, https://pubmed.ncbi.nlm.nih.gov/24428111/
Histoid leprosy: clinical and histopathological analysis of patients in follow-up in University Clinical Hospital of endemic country - PubMed, accessed March 30, 2025, https://pubmed.ncbi.nlm.nih.gov/29384191/
Histoid leprosy presenting as a large tumor - PubMed, accessed March 30, 2025, https://pubmed.ncbi.nlm.nih.gov/34518034/
De novo histoid leprosy - PMC, accessed March 30, 2025, https://pmc.ncbi.nlm.nih.gov/articles/PMC4228681/
Impact of histopathological and serological assessments on early diagnosis of leprosy relapse - PubMed, accessed March 30, 2025, https://pubmed.ncbi.nlm.nih.gov/39530153/
HISTOID RELAPSE IN LEPROMATOUS LEPROSY - PMC, accessed March 30, 2025, https://pmc.ncbi.nlm.nih.gov/articles/PMC5531390/
Correlation of Histomorphological Findings with Bacteriological Index in Leprosy Patients, accessed March 30, 2025, https://pmc.ncbi.nlm.nih.gov/articles/PMC8794573/
Atypical lesions in relapsed leprosy - PMC, accessed March 30, 2025, https://pmc.ncbi.nlm.nih.gov/articles/PMC4155963/
Relapse in leprosy and drug resistance assessment in a tertiary hospital of the state of Espírito Santo, Brazil - PMC, accessed March 30, 2025, https://pmc.ncbi.nlm.nih.gov/articles/PMC8008889/
Leprosy Relapse: A Retrospective Study on Epidemiologic, Clinical, and Therapeutic Aspects at a Brazilian Referral Center - PubMed, accessed March 30, 2025, https://pubmed.ncbi.nlm.nih.gov/35017109/
LEPROSY RELAPSE AFTER POLYCHEMOTHERAPY: A SYSTEMATIC REVIEW AND META-ANALYSIS | medRxiv, accessed March 30, 2025, https://www.medrxiv.org/content/10.1101/2023.12.19.23300270v1.full-text
Challenging in leprosy relapse with antiphospholipid syndrome diagnosis: A case report, accessed March 30, 2025, https://pmc.ncbi.nlm.nih.gov/articles/PMC10965750/
A comparative clinical trial in multibacillary leprosy with long-term relapse rates of four different multidrug regimens - PubMed, accessed March 30, 2025, https://pubmed.ncbi.nlm.nih.gov/19635893/
Challenging in leprosy relapse with antiphospholipid syndrome diagnosis: A case report, accessed March 30, 2025, https://pubmed.ncbi.nlm.nih.gov/38550732/
Clinical features of relapse after multidrug therapy for leprosy in China - PubMed, accessed March 30, 2025, https://pubmed.ncbi.nlm.nih.gov/26502687/
Role of histopathological, serological and molecular findings for the early diagnosis of treatment failure in leprosy - PubMed, accessed March 30, 2025, https://pubmed.ncbi.nlm.nih.gov/39354399/
An update of the diagnosis, treatment, and prevention of leprosy: A narrative review - PMC, accessed March 30, 2025, https://pmc.ncbi.nlm.nih.gov/articles/PMC11346855/
Leprosy - World Health Organization (WHO), accessed March 30, 2025, https://www.who.int/news-room/fact-sheets/detail/leprosy
Leprosy: A Review of Epidemiology, Clinical Diagnosis, and Management - PMC, accessed March 30, 2025, https://pmc.ncbi.nlm.nih.gov/articles/PMC9273393/
Leprosy (Hansen's disease): An Update and Review - PMC, accessed March 30, 2025, https://pmc.ncbi.nlm.nih.gov/articles/PMC9970335/
[Relapses after multibacillary leprosy treatment] - PubMed, accessed March 30, 2025, https://pubmed.ncbi.nlm.nih.gov/15495593/
Comparative analysis of the leprosy detection rate regarding its clinical spectrum through PCR using the 16S rRNA gene - PubMed Central, accessed March 30, 2025, https://pmc.ncbi.nlm.nih.gov/articles/PMC11532149/
Multidrug therapy for leprosy: a game changer on the path to elimination - PubMed, accessed March 30, 2025, https://pubmed.ncbi.nlm.nih.gov/28693853/
Leprosy in Children: Needs for Active Intervention - PMC - PubMed Central, accessed March 30, 2025, https://pmc.ncbi.nlm.nih.gov/articles/PMC5987519/
Late relapses in leprosy patients in Brazil: 10-year post-trial of uniform multidrug therapy (U-MDT/CT-BR) - PubMed, accessed March 30, 2025, https://pubmed.ncbi.nlm.nih.gov/38697216/
Relapse in leprosy - PubMed, accessed March 30, 2025, https://pubmed.ncbi.nlm.nih.gov/19293498/
Fixed-Duration Therapy in Leprosy: Limitations and Opportunities - PMC - PubMed Central, accessed March 30, 2025, https://pmc.ncbi.nlm.nih.gov/articles/PMC3657276/
Treatment and Evaluation Advances in Leprosy Neuropathy - PMC, accessed March 30, 2025, https://pmc.ncbi.nlm.nih.gov/articles/PMC8604554/
LEPROSY THERAPY, PAST AND PRESENT: CAN WE HOPE TO ELIMINATE IT? - PMC, accessed March 30, 2025, https://pmc.ncbi.nlm.nih.gov/articles/PMC3051288/
Drug and Multidrug Resistance among Mycobacterium leprae Isolates from Brazilian Relapsed Leprosy Patients - PMC, accessed March 30, 2025, https://pmc.ncbi.nlm.nih.gov/articles/PMC3372169/
Leprosy: current situation, clinical and laboratory aspects, treatment history and perspective of the uniform multidrug therapy for all patients - PubMed Central, accessed March 30, 2025, https://pmc.ncbi.nlm.nih.gov/articles/PMC5786388/
Novel approaches in the treatment of Hansen's disease (Leprosy): a case series of multidrug therapy of monthly rifampin, moxifloxacin, and minocycline (RMM) in the United States - PubMed, accessed March 30, 2025, https://pubmed.ncbi.nlm.nih.gov/36387060/